Ecografía abdominal en el punto de atención
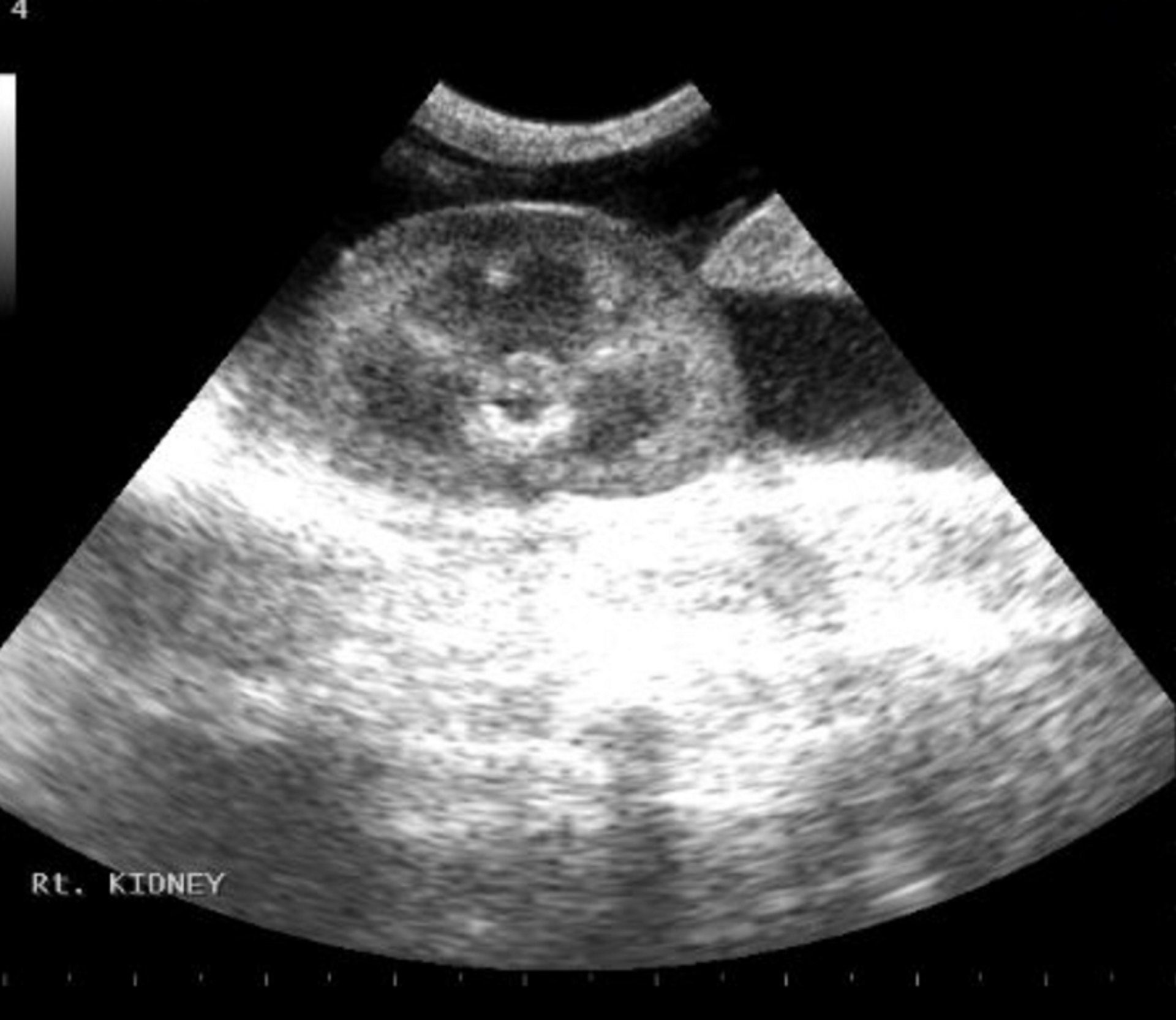
Imagen de una ecografía abdominal en el punto de atención que muestra una acumulación de líquido (negro/anecoico) alrededor del riñón derecho.
Cortesía del Dr. Andrew Linklater.
Imagen de una ecografía abdominal en el punto de atención que muestra una acumulación de líquido (negro/anecoico) alrededor del riñón derecho.
Cortesía del Dr. Andrew Linklater.