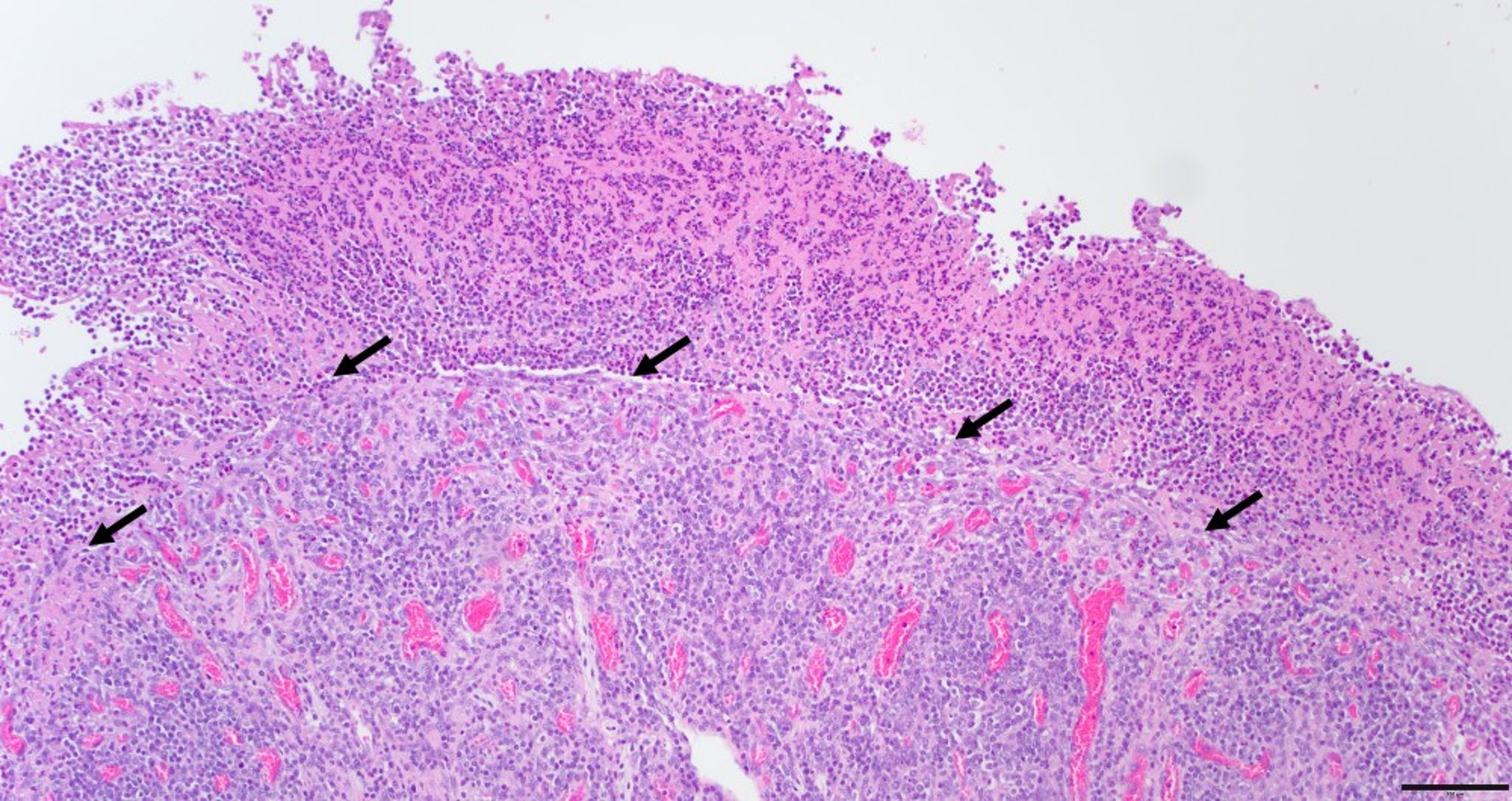
Enteritis por Salmonella, íleon, ternero
Microfotografía del íleon de un ternero de 3 semanas de edad con enteritis grave, aguda, ulcerativa y fibrinonecrótica debida a salmonelosis. La ulceración (pérdida completa de la mucosa) está cubierta por numerosos neutrófilos, fibrina y restos necróticos. Nótese la unión (indicada por flechas) entre la membrana fibrinonecrótica y la submucosa subyacente. La submucosa contiene vasos prominentes, células inflamatorias mononucleares mixtas y placas de Peyer. Barra de escala = 100 μm.
Cortesía de la Dra. Victoria Watson, Michigan State University Veterinary Diagnostic Laboratory.
En estos temas
