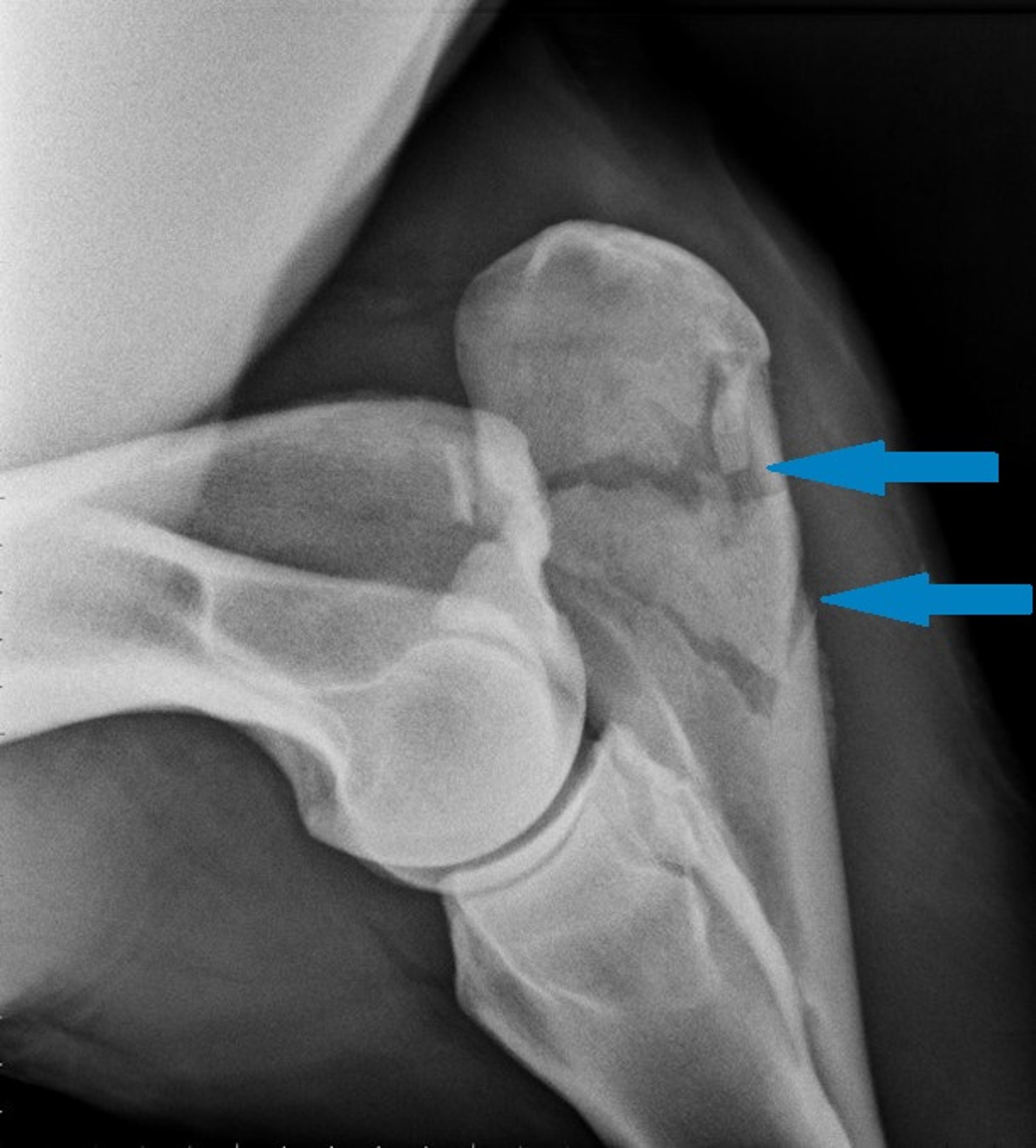
Fractura cubital, radiografía, caballo
Imagen radiográfica que muestra una fractura cubital conminuta (flechas) en un caballo.
Cortesía de la Dra. Tracy A. Turner.
En estos temas
Imagen radiográfica que muestra una fractura cubital conminuta (flechas) en un caballo.
Cortesía de la Dra. Tracy A. Turner.