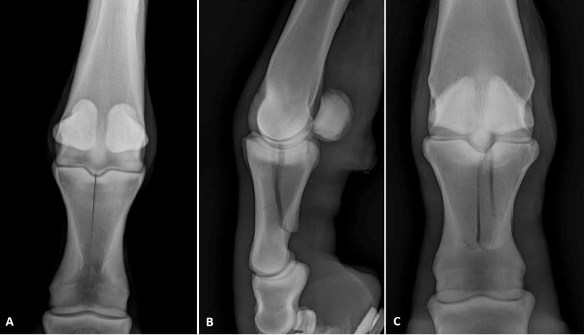
Radiografías de fracturas de la P1 en caballos
Imágenes radiográficas que muestran dos configuraciones diferentes de fracturas de la primera falange en caballos. (A) Vista dorsopalmar de una fractura sagital incompleta. (B) Vista lateral y (C) vista dorsopalmar de una fractura complicada.
Cortesía del Dr. Matthew T. Brokken.
En estos temas
