History of Present Illness
Review of Systems
Past Medical History
Physical Examination
Relevant Testing
Test Results 1
Differential Diagnoses
Relevant Next Steps
Test Results 2
Test Interpretation
Diagnosis
Treatment Orders
Question 1
Question 2
Question 3
About the Case
Shar-Pei with Icterus
Test Interpretation
Your browser does not support HTML5 .
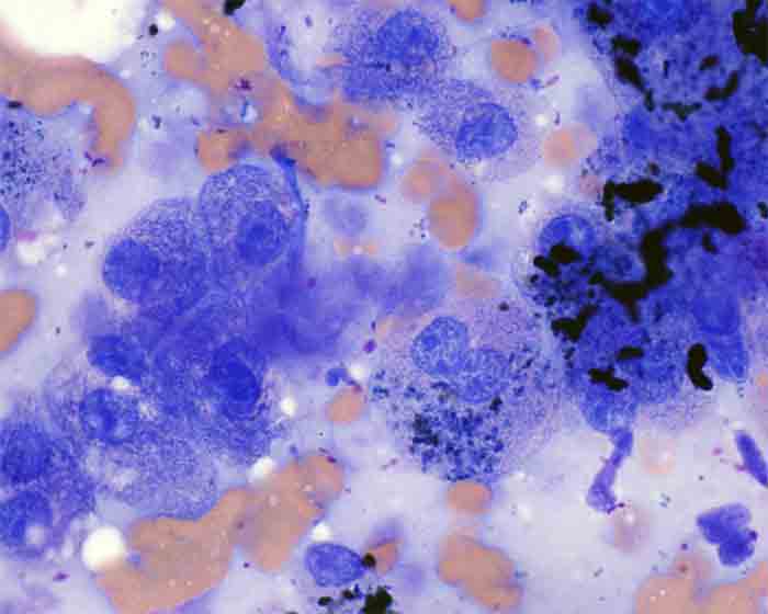
Liver cytology returns and is shown. Which of the following is a correct interpretation of the liver cytology?
Next