History of Present Illness
Review of Systems
Past Medical History
Physical Examination
Relevant Testing
Test Results 1
Differential Diagnoses
Relevant Next Steps
Test Interpretation
Test Results 2
Diagnosis
Treatment Orders
Question 1
Question 2
Question 3
Question 4
About the Case
Dalmatian with Bite Wounds
Test Interpretation
Your browser does not support HTML5.
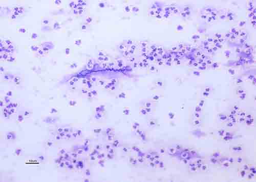
Cytology of the wound exudate returns and is shown. Which of the following is a correct interpretation of the fluid cytology?
Next