Cat with vomiting and anorexia

Test Interpretation

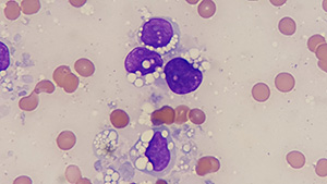
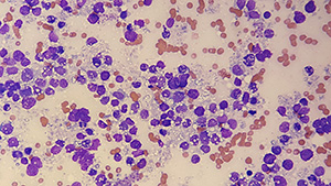
Cytology of aspirate of the right kidney is shown. Which of the following is a correct interpretation of the cytology? (You may select only one option.)


Low power view:


High power view: