Llama with lateral recumbency

Findings

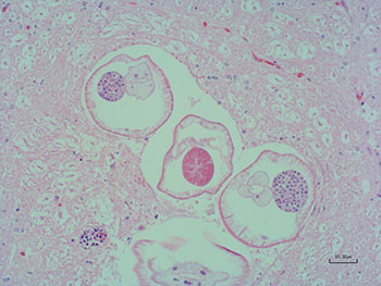
Necropsy findings: Definitive diagnosis of P tenuis infection requires finding the organisms in CNS tissue and results of molecular testing for species identification. Molecular testing is not widely available. In this case, multiple nematode cross-sections were found in the brainstem (medulla), and the spinal cord showed areas of damage attributed to migration.

Histologic findings: