11-year-old dog with limp

Test Interpretation 1

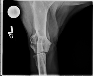
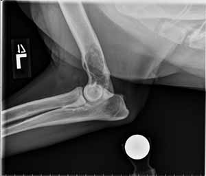
Radiographs of the left elbow show the following:

Cranial-caudal view:
vet13a

Lateral view:
vet13b

Which of the following is a correct interpretation of the radiographic findings? (You may select only one option.)