History of Present Illness
Review of Systems
Past Medical History
Relevant Next Steps 1
Physical Examination
Relevant Testing
Test Results 1
Diagnosis
Relevant Next Steps 2
Test Results 2
Differential Diagnoses
Treatment Orders
Question 1
Question 2
About the Case
Lethargic dog with anorexia and pain
Test Results 1
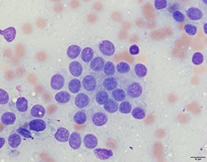
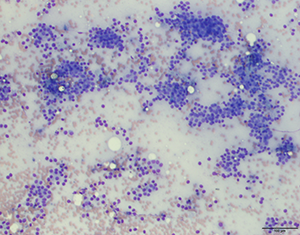
A fine-needle biopsy of the rectal mass is obtained, and cytology of the aspirate is shown:
Cytology from fine needle biopsy
Low power view:
High power view:
Next