History of Present Illness
Review of Systems
Past Medical History
Physical Examination
Initial Testing
Test Results
Lab Results
Relevant Next Steps
Diagnosis
Treatment Orders
Question 1
Question 2
About the Case
Puppy with vomiting and diarrhea
Diagnosis
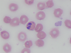
Based on this patient's blood smear, which of the following is the most likely identity of the inclusions?
A blood smear is obtained and is shown here:
Mycoplasma
spp
Babesia
spp
The organisms on the patient’s blood smear are a large form of Babesia, most likely
B canis
.
Next