Disoriented cat with stumbling gait

Additional Test Results

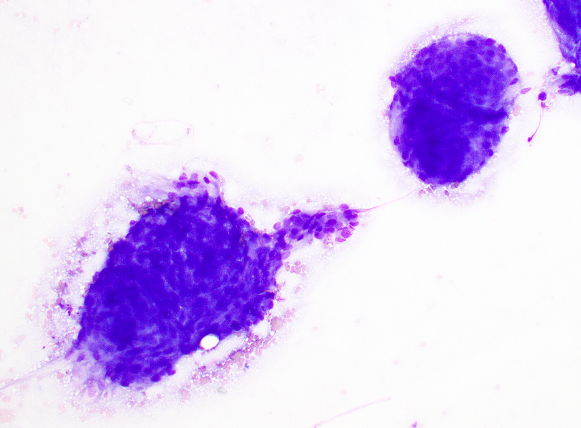
Cytology:

Histology:

The cat underwent successful surgical resection of the intracranial mass. Based on the pathology samples shown below, what is the most likely anatomic diagnosis?