Abdominal ultrasound:
Abdominal ultrasound is obtained and shows an enlarged liver. Parenchyma was diffusely heterogenous in echogenicity with multiple ill-defined hyperechoic and hypoechoic regions. The gall bladder was of normal thickness with a thin hypoechoic line within.
Impressions: Inflammatory or infectious hepatopathy and probable cholangitis; cholangiohepatitis.
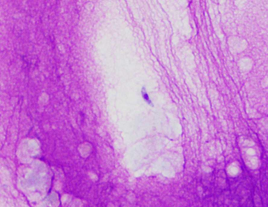
During the abdominal ultrasound, fine needle aspiration of bile and biopsy of liver parenchyma is performed. Results are shown: