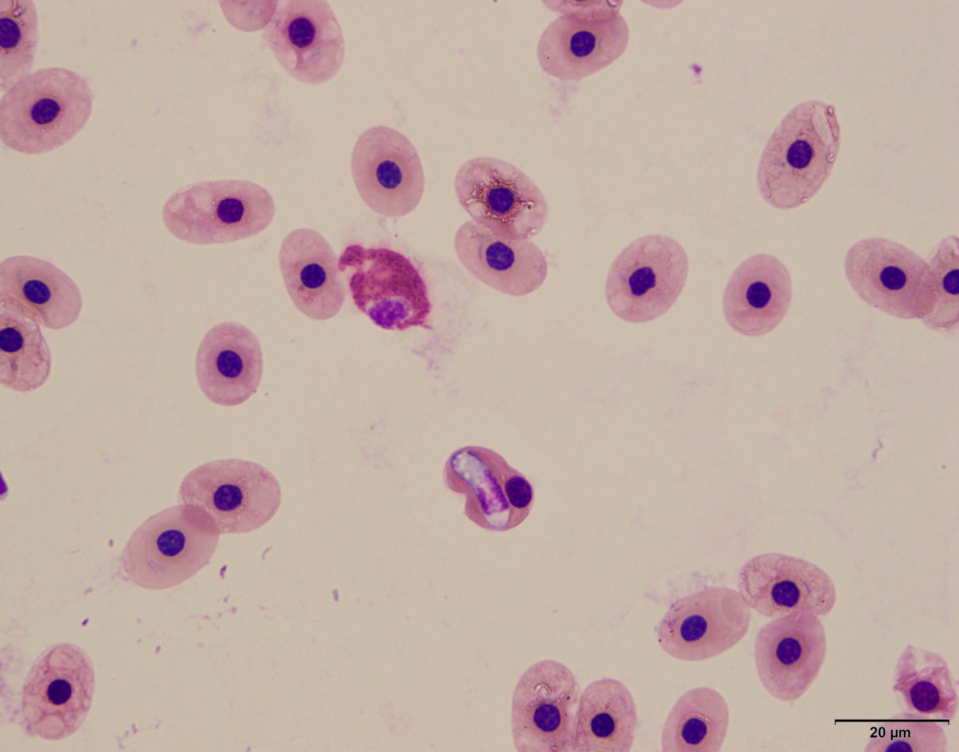
Chicken turtle with lethargy

Diagnosis



A blood smear is ordered, and results are shown. Based on the image of the patient's blood smear below, what is the most likely identity of the intraerythrocytic organism?

Babesia spp

Babesia organisms are intracellular but smaller and often have a teardrop shape.



Plasmodium spp


Trypanosoma spp