Results of additional studies return and are shown:
Coagulation panel results are within reference limits.
Abdominal ultrasound shows a hyperechoic and mildly enlarged liver as well as kidneys of different sizes.
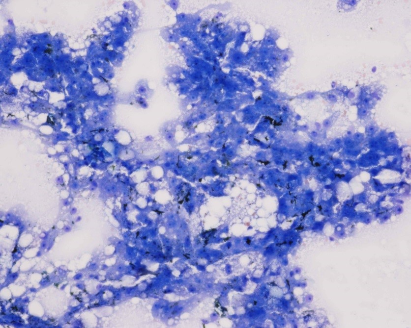
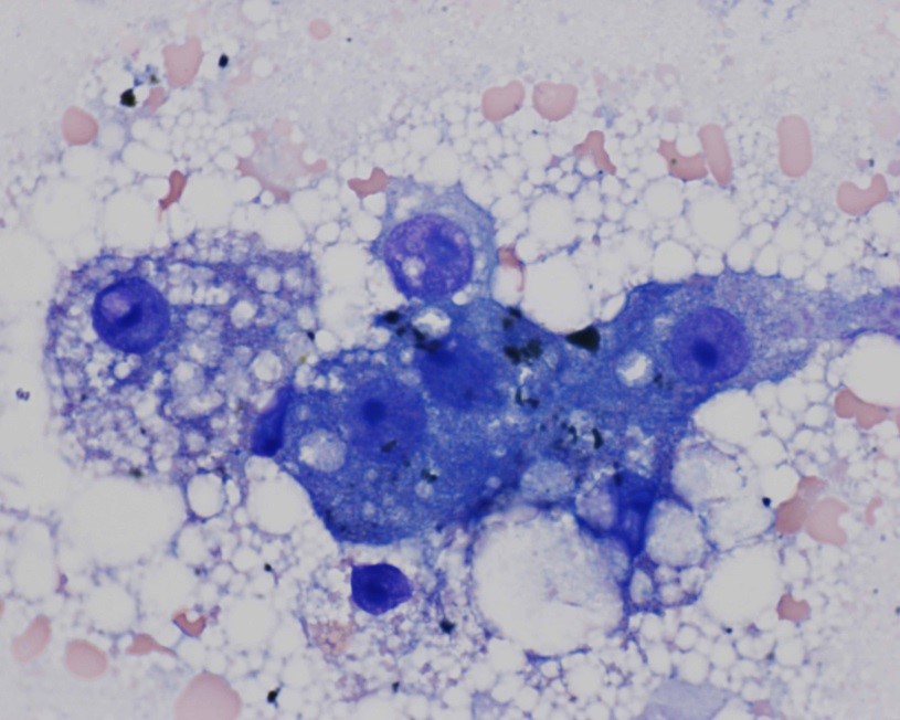
Cytology of fine-needle liver biopsy: Highly cellular sample contains hepatocytes with marked vacuolation and extracellular bile casts.
Low Power view

High Power view
