History of Present Illness
Review of Systems
Past Medical History
Physical Examination
Testing
Test Results
Test Results Interpretation
Relevant Next Steps
Test Results 2
Differential Diagnoses
Treatment Orders
Question 1
Question 2
About the Case
Domestic Shorthaired cat with a nose mass
Test Results
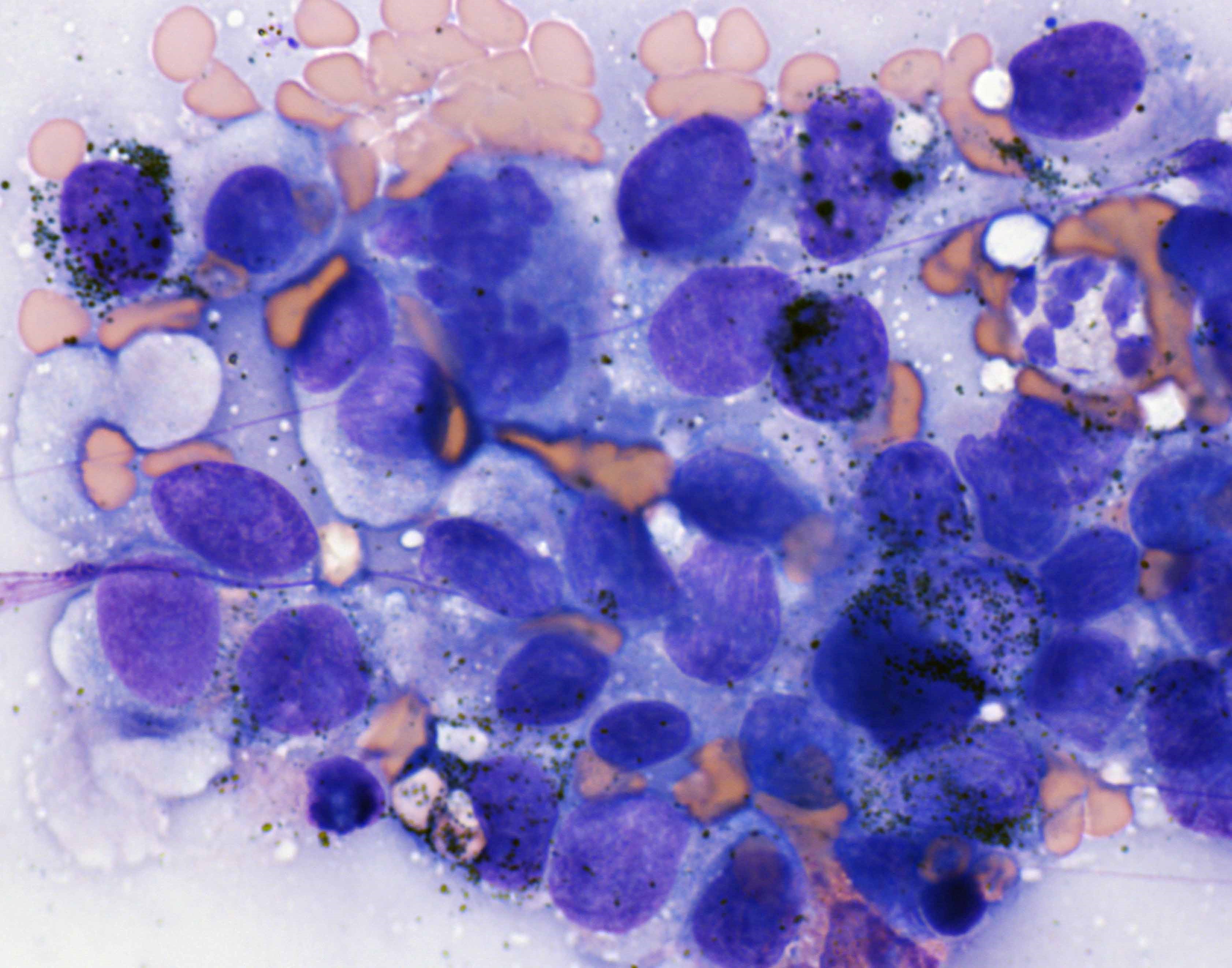
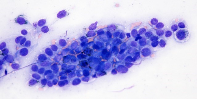
A cytology sample of the nasal mass is obtained, and the smear is shown:
Medium power view:
High power view:
Next