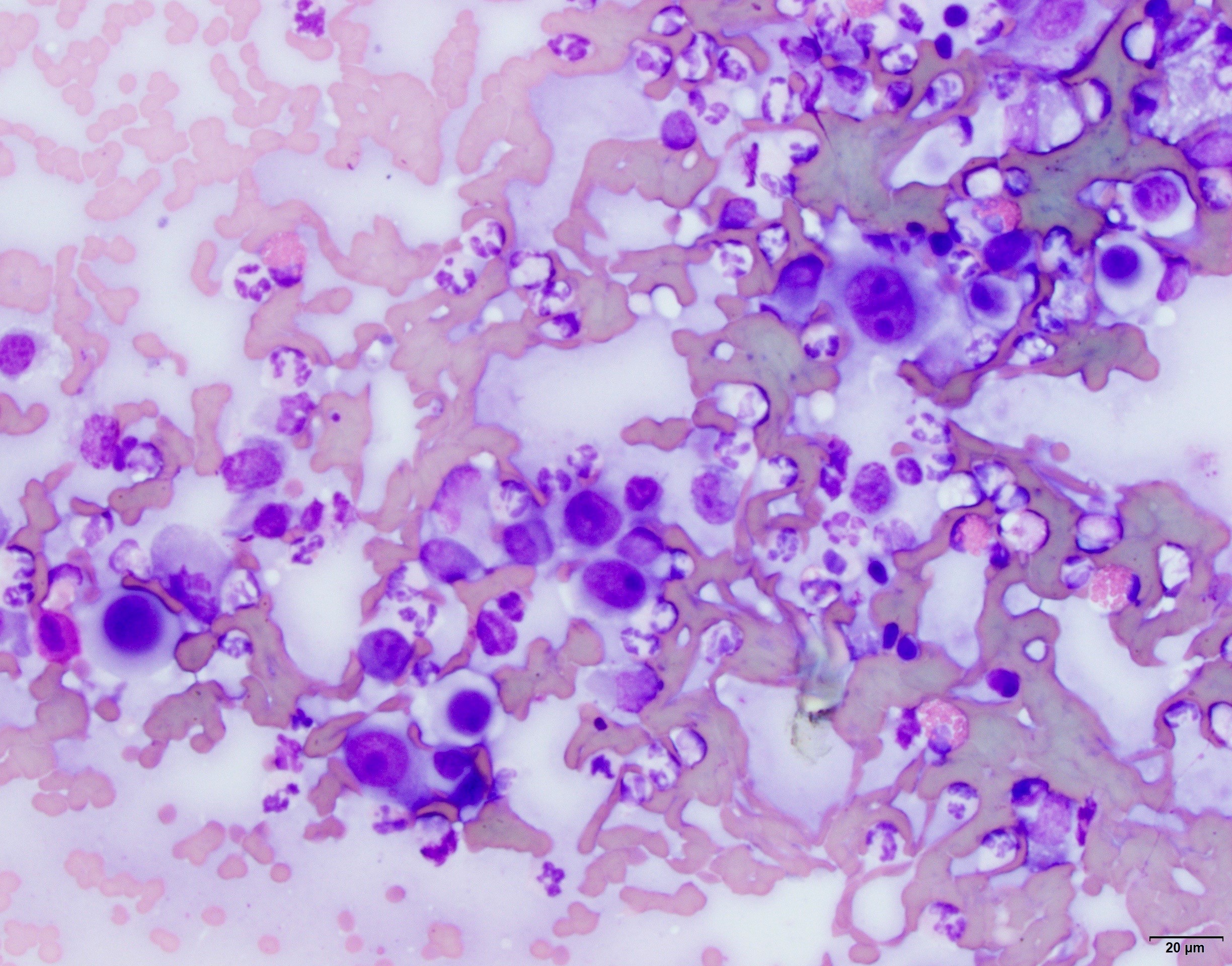
Horse with a mass near left eye

Test Results

Cytology from an impression smear of the mass is obtained and is shown: