Piglet with pale mucous membranes
Additional Test Results
Appropriate testing is obtained, and results are shown:
Serum:
| Test (units) |
Result |
Ref. Range |
| Iron concentration (mcg/dL) |
26 |
55–187 |
| Total iron-binding capacity (mcg/dL) |
577 |
241–393 |
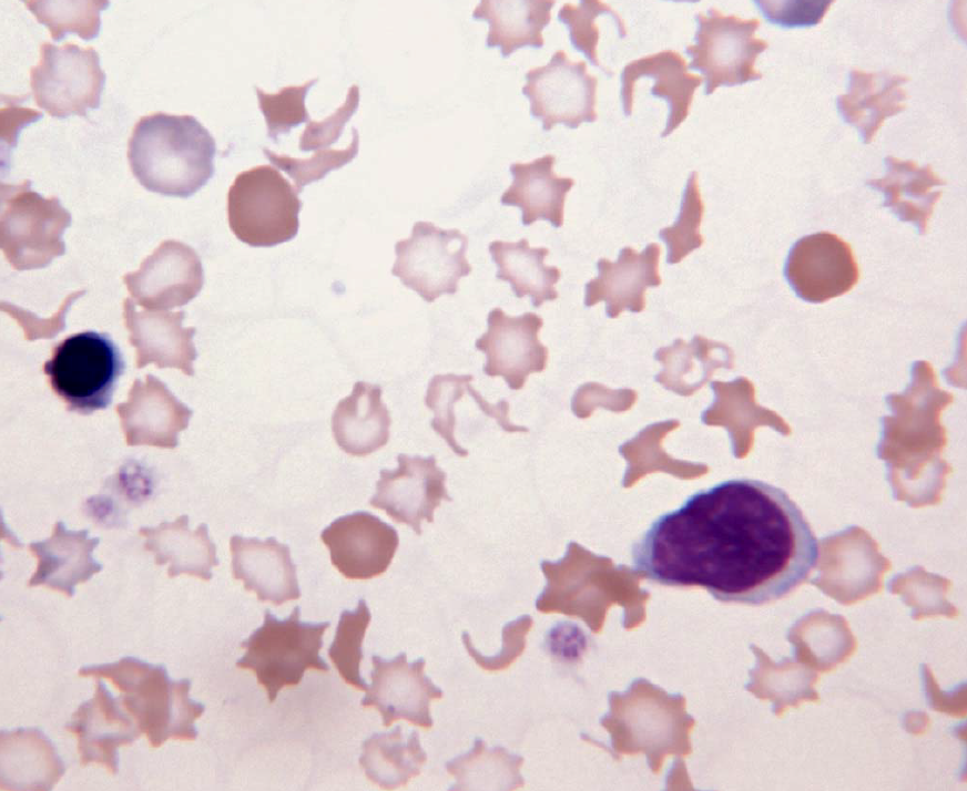
Blood smear

Which of the erythrocyte morphologies are of pathologic significance in the image above? (You may select more than one option.)
Echinocytes — spiny RBCs with many small projections
Heinz bodies — RBC with a single knob-like projection
Hypochromasia — increased central pallor
Microcytes — red, circular RBCs smaller than the nucleus of a lymphocyte
Schistocytes — fragments of erythrocytes with ends