History of Present Illness
Review of Systems
Past Medical History
Physical Examination
Testing
Test Results
Lab Interpretation
Relevant Next Steps
Additional Test Results
Question 1
Diagnosis
Treatment Orders
Question 2
About the Case
Kitten with intermittent cough
Additional Test Results
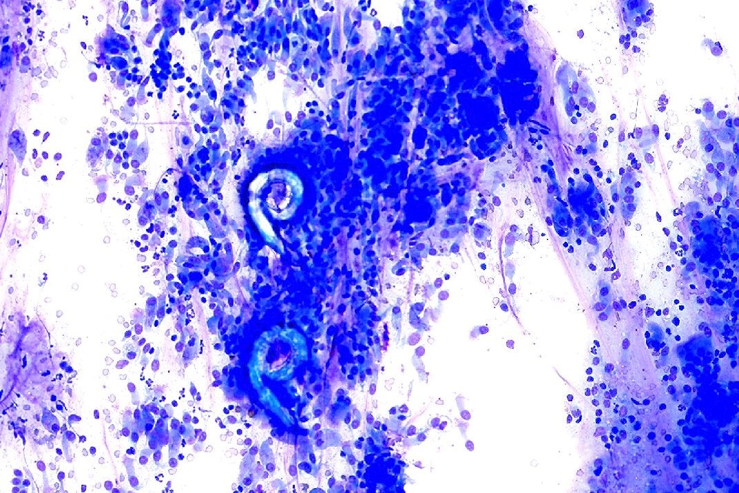
A transoral wash is obtained. A slide prepared for cytologic evaluation is shown:
Next