History of Present Illness
Review of Systems
Past Medical History
Physical Examination
Question 1
Testing
Test Results
Question 2
Differential Diagnosis
Relevant Next Steps
Treatment Orders
Question 3
Question 4
About the Case
Dog straining to urinate
Question 4
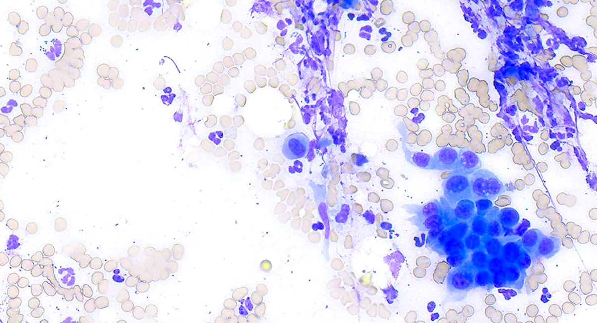
Below is an image of an aspirate of an enlarged prostate of a 12-year-old castrated male Chinese Crested dog. Which of the following are the most likely diagnoses? (You may select more than one option.)
Next