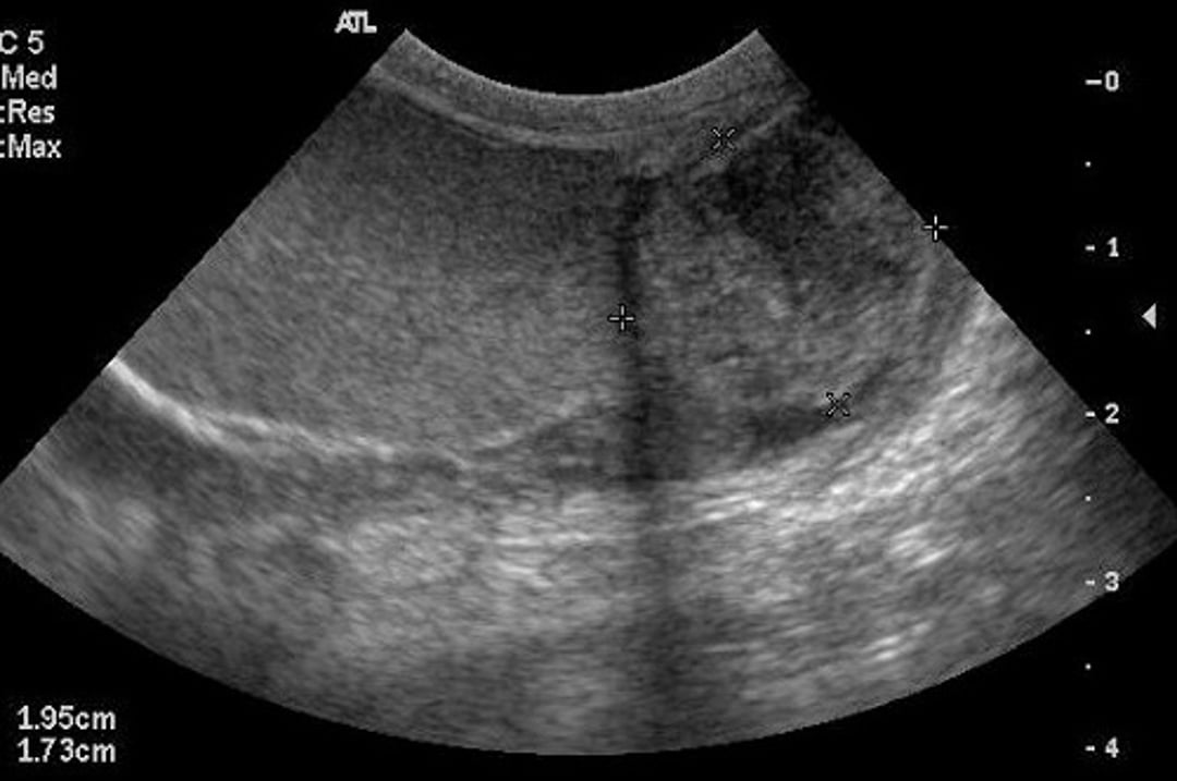
Epididimitis crónica, epidídimo agrandado, ecografía, perro
Ecografía transversal del escroto de un perro con epididimitis crónica. Observe el epidídimo agrandado (cuatro cursores), que tiene una ecogenicidad mixta.
Cortesía de la Dra. Autumn Davidson.
En estos temas
