Orquitis y epididimitis, edema escrotal, ecografía, perro

Orquitis y epididimitis, edema escrotal, ecografía, perro

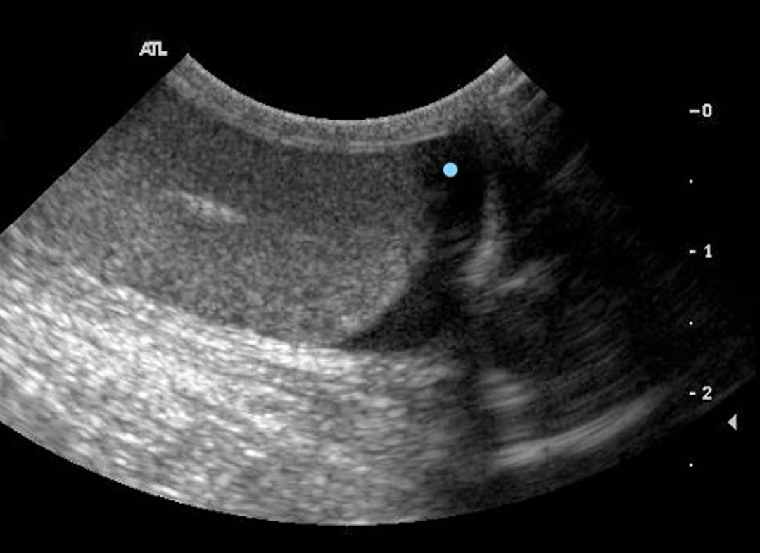
Ecografía sagital del escroto de un perro con orquiepididimitis. Observe la región anecoica mal definida (punto azul) indicativa de edema.

Cortesía de la Dra. Autumn Davidson.