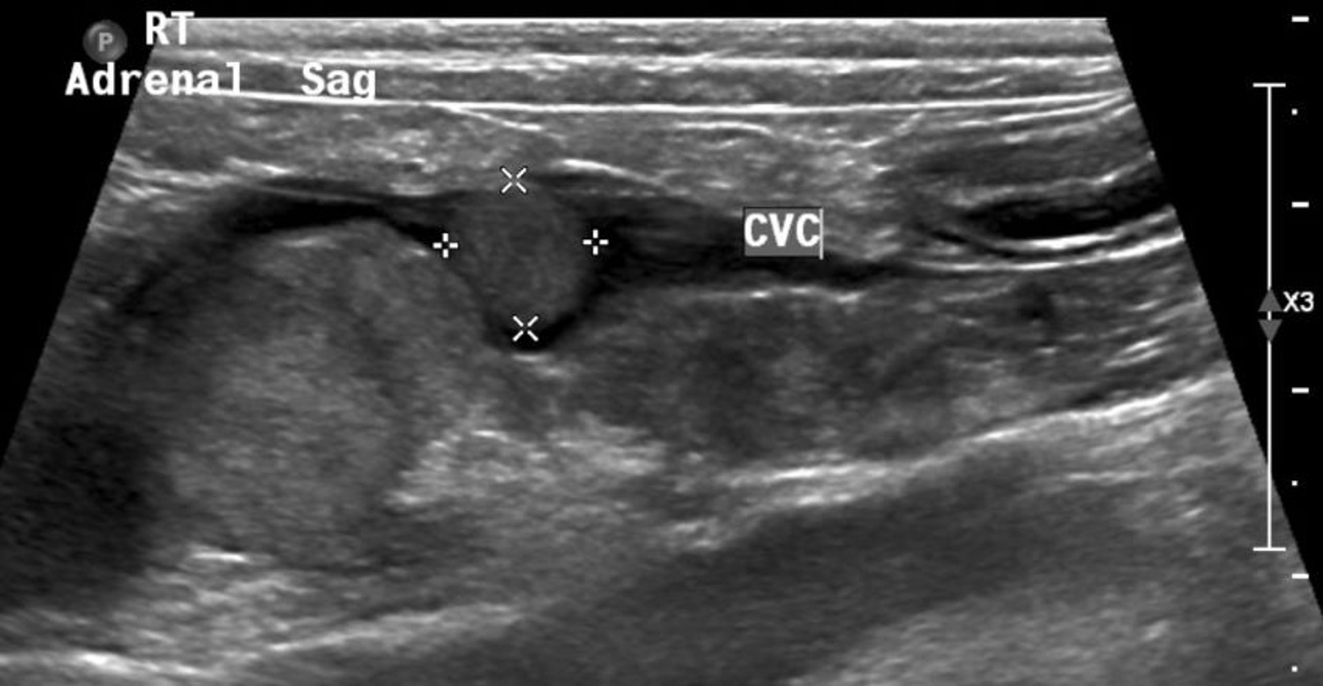
Adrenal tumor, ultrasonogram, dog
Sagittal-plane right cranial abdominal ultrasonographic image of a Dachshund, showing a large hyperechoic adrenal mass with lesion extension into the lumen of the abdominal caudal vena cava (cursors) that is causing partial occlusion. CVC, caudal vena cava.
Courtesy of Dr. Kristina Miles.
