Angular limb deformity, radiographs, dog
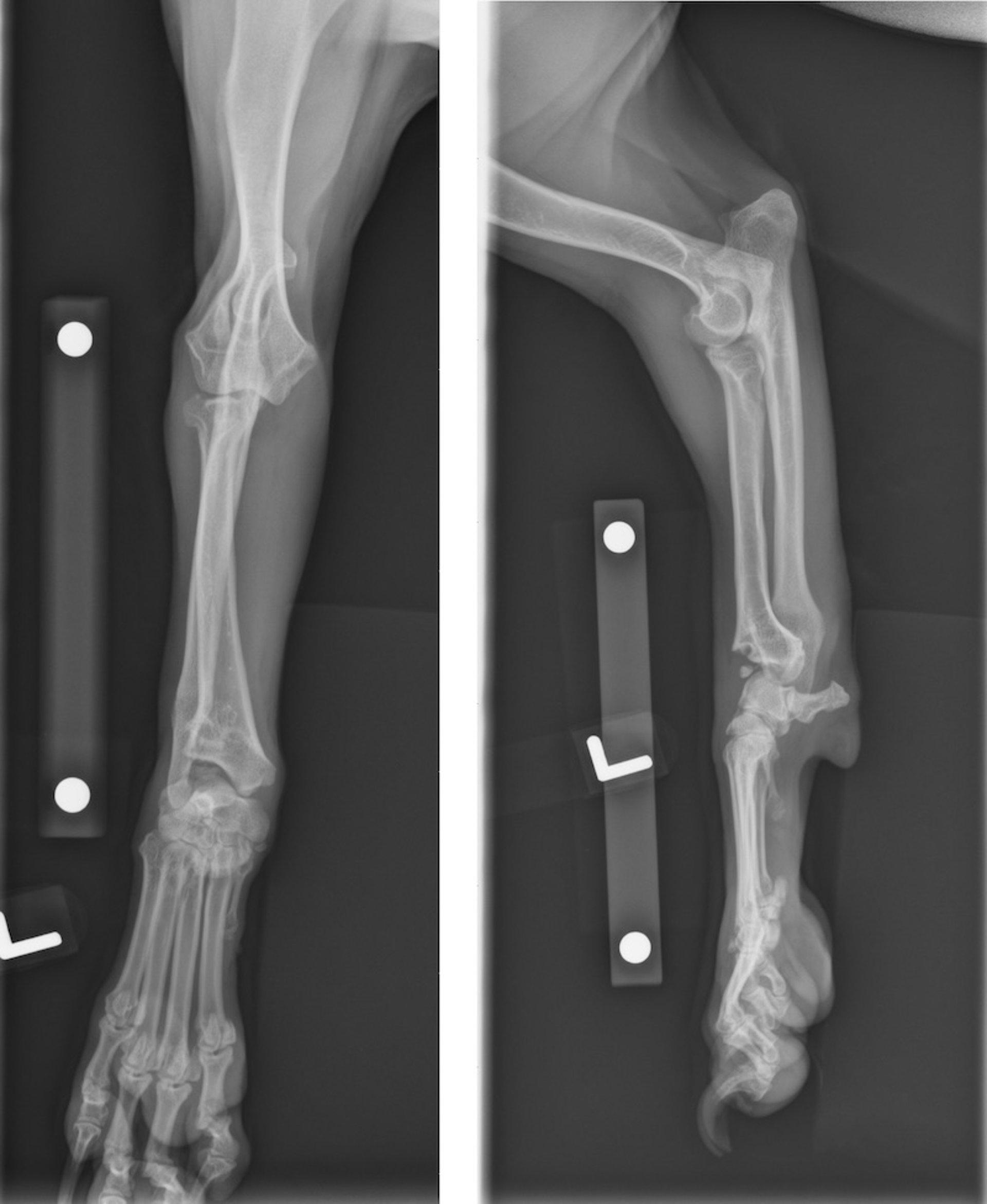
Radiographs showing premature closure of distal ulnar and radial physis in an 8-month-old mixed-breed dog. Short radius and ulna, carpal joint subluxation, and incongruity of radioulnar, humeroulnar, and radioulnar joints are evident.
Courtesy of Dr. Po-Yen Chou.
In these topics
