B-lines on a lung ultrasonogram

B-lines on a lung ultrasonogram

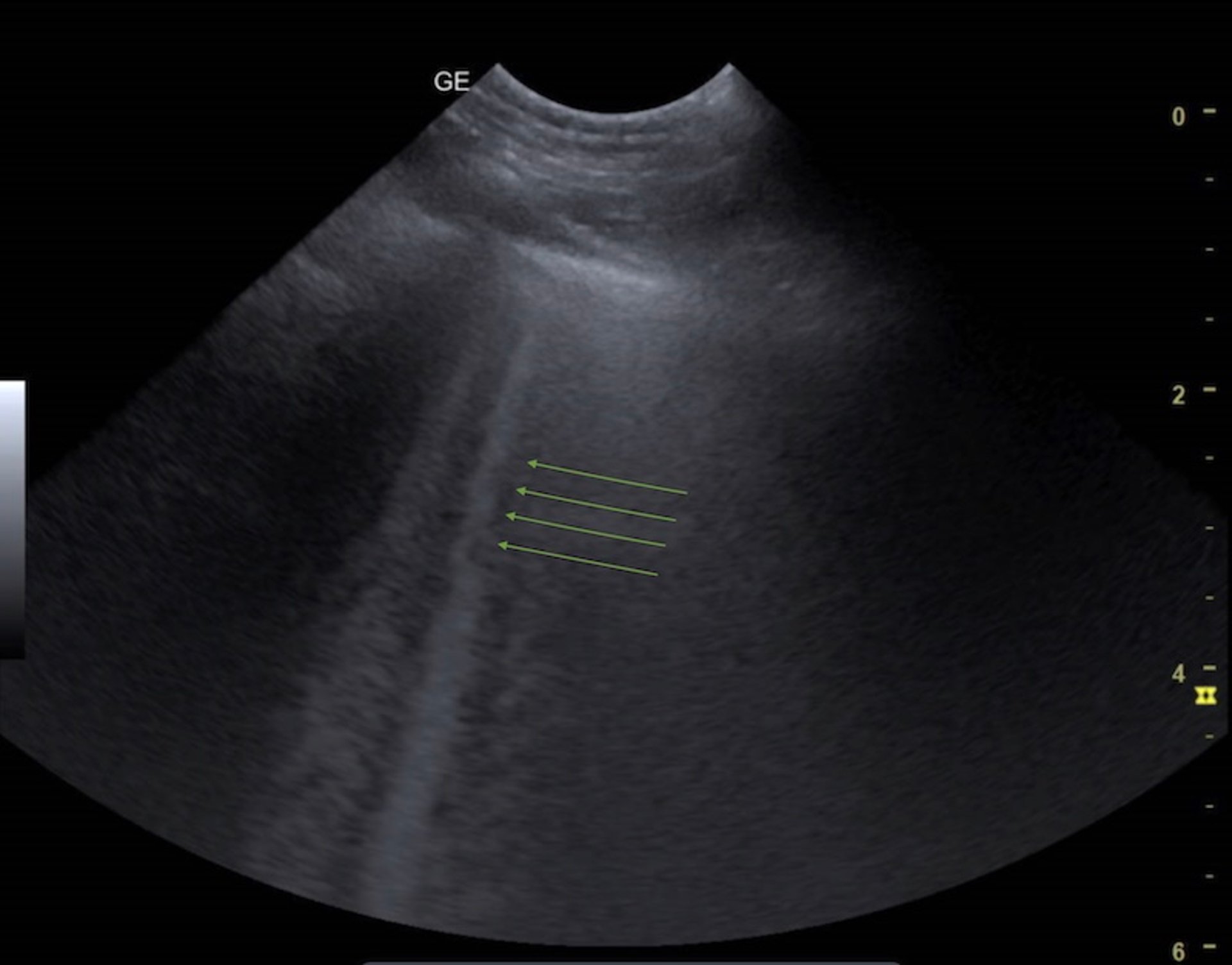
B-lines are bright (hyperechogenic) vertical artifacts that extend from the pleural interface through the screen. They indicate fluid accumulation within the interstitial space.

Courtesy of Dr. Andrew Linklater.