Bacteriuria and pyuria, photomicrograph, cat

Bacteriuria and pyuria, photomicrograph, cat

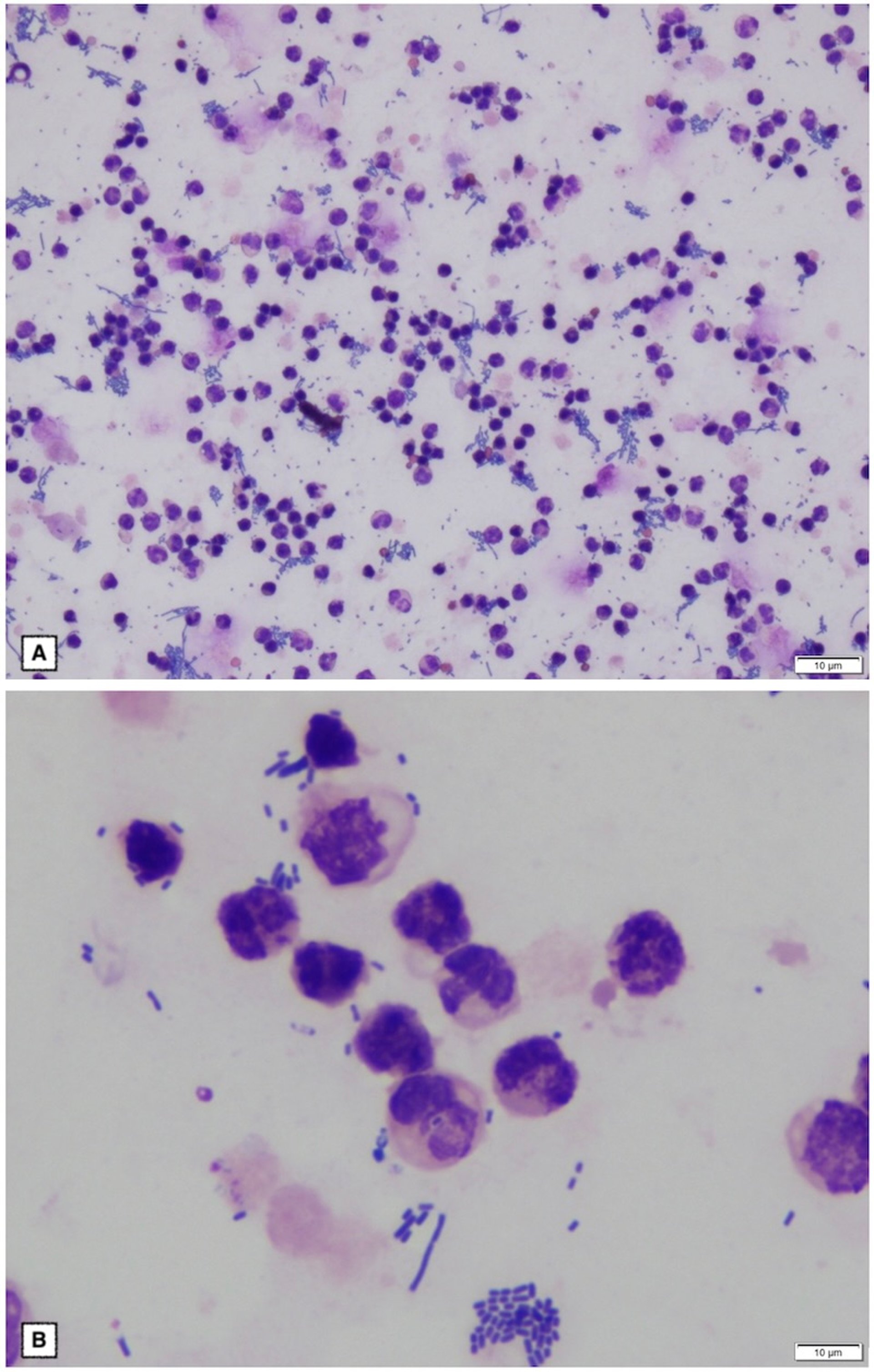
Microscopic urine sediment examination of a cat displaying bacteriuria and pyuria at 200X magnification (A) and 1000X magnification (B). Modified Wright stain. Scale bar = 10 mcm.

Courtesy of the Purdue University Veterinary Hospital Clinical Pathology Laboratory.