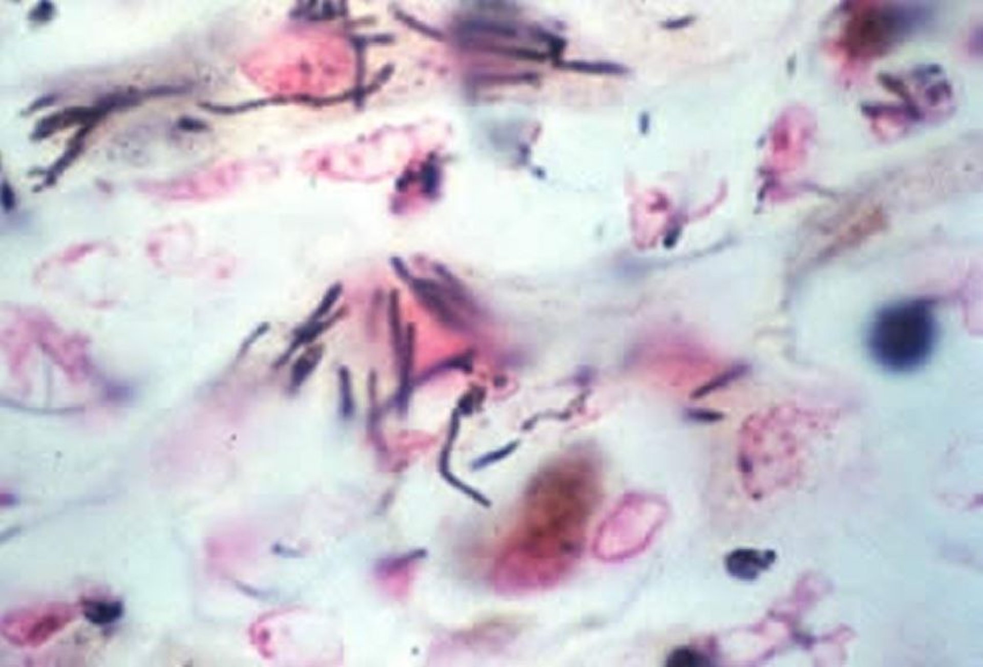
Clostridium piliforme, liver, photomicrograph
Photomicrograph of Clostridium piliforme rods (black) in the cytoplasm of hepatocytes. Note the characteristic bundling of the rods. Silver stain; high power.
Courtesy of Dr. Francisco Uzal.
In these topics
