Double bubble radiograph, lateral view, dog
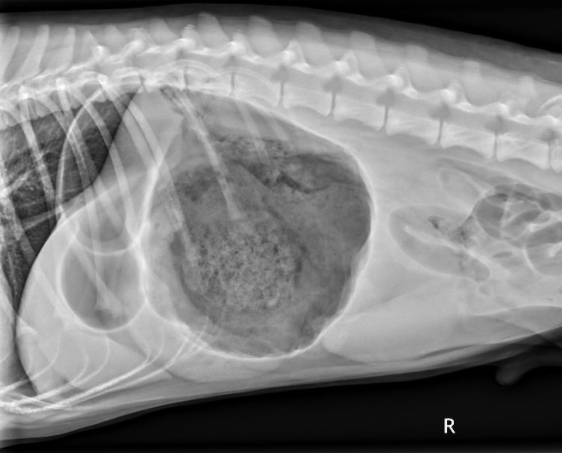
Lateral radiograph showing the "double bubble" in an 18-month-old Standard Poodle with gastric dilation and volvulus.
Courtesy of Dr. Kevin Winkler.
In these topics
Lateral radiograph showing the "double bubble" in an 18-month-old Standard Poodle with gastric dilation and volvulus.
Courtesy of Dr. Kevin Winkler.