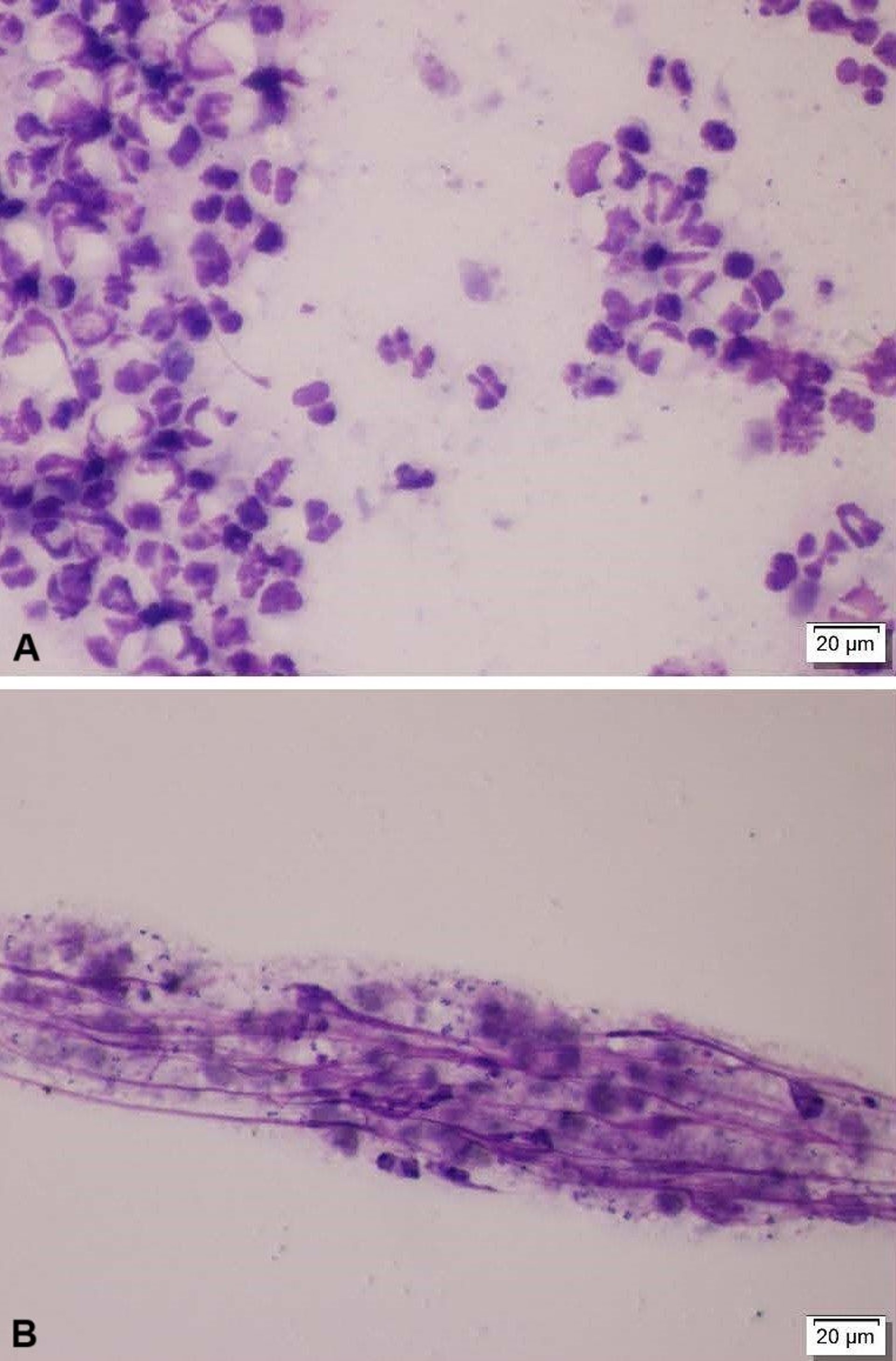
Pyoderma, impression smear photomicrographs, dog
Photomicrographs of impression smears from a skin lesion in a dog with pyoderma. (A) Note the many neutrophils with few extracellular and intracellular cocci. (B) Note the degenerative neutrophils, with purple nuclear material streaming from ruptured cells, overlaid with numerous clusters of extracellular cocci. For both images: commercial Romanowsky stain variant; scale bar = 20 mcm.
Courtesy of Dr. Mitzi Clark.
In these topics
