Spinal meningioma, MRI, cat
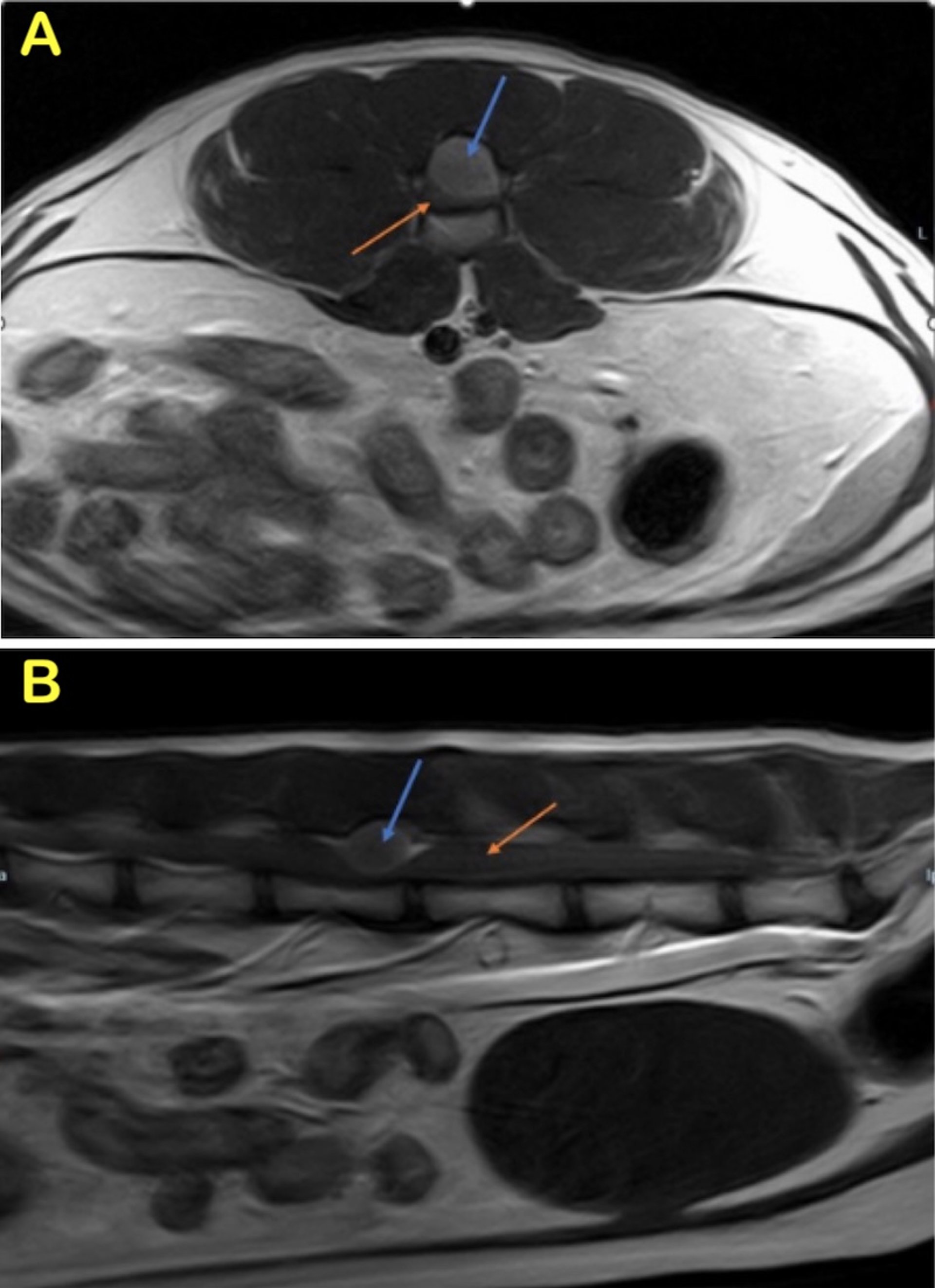
T1W postcontrast lumbar spine images of a spinal meningioma in a 13-year-old cat that showed difficulty walking for 1 year. The images show a large, well-defined, strongly contrast-enhancing extradural mass at L4. The blue arrow points towards the tumor, and on the sagittal image (B), a dural tail is visible both cranial and caudal to the mass. The orange arrow points to the normal spinal cord. On the axial view (A), the severe spinal cord compression can be appreciated due to the very small amount of normal spinal cord visible.
Courtesy of Dr. Baye Williamson.
In these topics
