Subchondral bone cyst, stifle, radiograph, horse
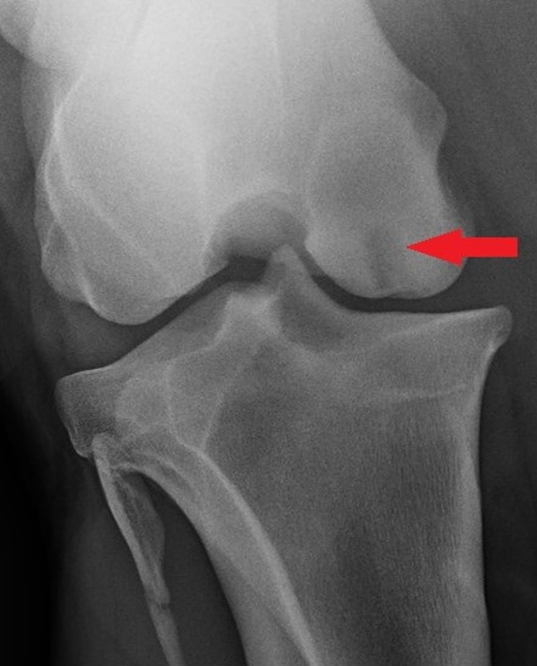
Caudal-cranial radiograph of the stifle of a horse, showing a subchondral bone cyst (arrow) at the medial femoral condyle.
Courtesy of Dr. Sushmitha Durgam.
In these topics
Caudal-cranial radiograph of the stifle of a horse, showing a subchondral bone cyst (arrow) at the medial femoral condyle.
Courtesy of Dr. Sushmitha Durgam.