Transcondylar lag screw placement, radiograph, horse
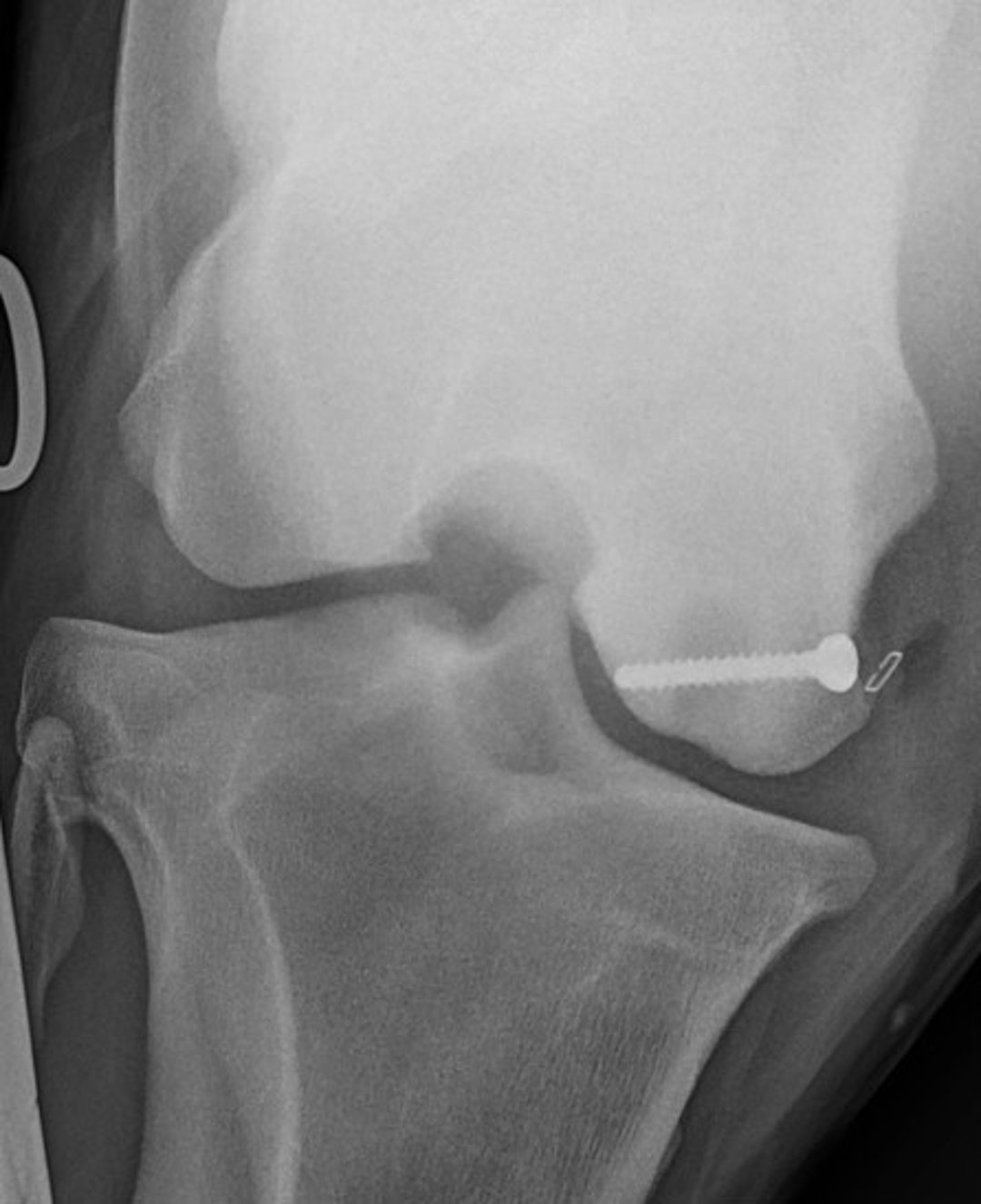
Intraoperative radiograph of a horse, demonstrating transcondylar lag screw placement. The skin staple denotes marking at the skin before lag screw placement.
Courtesy of Dr. Sushmitha Durgam.
In these topics
