PROFESSIONAL VERSION

Mycoplasma gallisepticum Infection in Poultry

(Chronic Respiratory Disease, Infectious Sinusitis)

ByMohamed El-Gazzar, DVM, MAM, PhD, DACPV, Department of Veterinary Diagnostic and Production Animal Medicine, College of Veterinary Medicine, Iowa State University
Reviewed ByDavid E. Swayne, DVM, PhD, DACVP, DACPV, Birdflu Veterinarian, LLC
Reviewed/Revised Modified Sept 2025
v3342182

Mycoplasma gallisepticum causes respiratory and systemic disease in chickens, turkeys, and other avian species. Morbidity rate is typically high, and mortality rate is low in affected flocks. Clinical signs are generally more severe in turkeys. Real-time PCR assay is commonly used for diagnosis. Antimicrobials may decrease clinical signs and transmission through eggs; however, they do not eliminate infection. Control and prevention in commercial broilers or layers involves sourcing flocks from M gallisepticum–free breeder flocks and maintaining negative status through biosecurity and monitoring. In high-challenge situations, vaccine use can help mitigate clinical signs as well as economic losses brought about by the disease.

Mycoplasma gallisepticum is the most pathogenic of the avian mycoplasmas; however, considerable strain variability is manifest in a range of host susceptibility, virulence, clinical signs, and immunological response.

There is a marked interaction (polymicrobial disease) between respiratory viruses, Escherichia coli, and M gallisepticum in the pathogenesis and severity of chronic respiratory disease.

M gallisepticum is commonly involved in polymicrobial chronic respiratory disease of broiler chickens, leading to increased condemnations in the processing plant. In layers and breeders, infection is usually subclinical but causes a decrease in the number of eggs laid per hen over the production cycle. Turkeys are more susceptible to M gallisepticum, with infection frequently resulting in swollen infraorbital sinuses (hence the common name "infectious sinusitis").

M gallisepticum infections affect chickens and turkeys worldwide, causing the most notable economic losses in large commercial operations, and commonly occur in noncommercial flocks as well. Infection also occurs in pheasants, chukar partridges, peafowl, pigeons, quail, ducks, geese, and psittacine birds. Songbirds are generally resistant, although M gallisepticum causes conjunctivitis and death in wild house finches (and some similar species) in North America.

Epidemiology and Transmission of Mycoplasma gallisepticum Infection in Poultry

Mycoplasma gallisepticum is vertically transmitted (transovarian) in a small percentage of hatching eggs from infected breeders to progeny and horizontally transmitted either between farms, mainly by human activity on fomites (shoes, equipment, etc), or through movement of infected acute or chronic carrier birds.

Once M gallisepticum is introduced, vertically or horizontally, clinical signs in the flock can be latent for days to months; however, when birds are stressed, direct horizontal transmission between birds within a flock often occurs rapidly via aerosols and respiratory secretions, after which clinical signs of disease spread through the flock. Once individuals or flocks are infected, they remain infected for life and act as carriers or reservoirs for M gallisepticum.

Some potential reservoirs of M gallisepticum in the US are noncommercial (backyard) flocks, multiple-age layer flocks, and some free-ranging songbird species. Good management and biosecurity practices are necessary to ensure that M gallisepticum infections are not introduced to commercial poultry from these and other sources.

In many outbreaks, the source of infection is unknown. Cold weather, poor air quality or crowding, concurrent infections, and some live virus vaccinations may exacerbate clinical signs.

Epithelia of the conjunctiva, nasal passages, sinuses, and trachea are most susceptible to initial colonization and infection; however, in severe, acute disease, infection can also involve the bronchi, air sacs, and, occasionally, lungs.

Clinical Findings and Lesions of Mycoplasma gallisepticum Infection in Poultry

In chickens, M gallisepticum infection may be inapparent or result in varying degrees of respiratory distress, with slight to marked rales, difficulty breathing, coughing, and/or sneezing. Morbidity rates are high and mortality rates low in uncomplicated cases. Nasal discharge and conjunctivitis with frothiness of the eyes may be present (see ).

The disease is generally more severe in turkeys than in chickens, and swelling of the infraorbital sinuses is common (see with M gallisepticum). Feed efficiency and weight gains are decreased.

Clinical Findings and Lesions of Mycoplasma gallisepticum Infection in Poultry
Conjunctivitis and periorbital swelling, M gallisepticum, chicken
Conjunctivitis and periorbital swelling, M gallisepticum, chicken

Mild conjunctivitis and periorbital swelling (red arrow) compared to normal (black arrow).

Mild conjunctivitis and periorbital swelling (red arrow) compared to normal (black arrow).

Courtesy of Dr. Mohamed El-Gazzar.

Mycoplasma gallisepticum, turkey
Mycoplasma gallisepticum, turkey

This meat turkey infected with M gallisepticum has clear mucoid exudate, dried nasal exudate, and a swollen infraorbital sinus.

This meat turkey infected with M gallisepticum has clear mucoid exudate, dried nasal exudate, and a swollen infraorbita

... read more

Courtesy of North Carolina State Poultry Health Management.

Airsacculitis, chicken
Airsacculitis, chicken

Mild to moderate airsacculitis with increased exudate and enlarged blood vessels as a response to inflammation.

Mild to moderate airsacculitis with increased exudate and enlarged blood vessels as a response to inflammation.

Courtesy of Dr. Mohamed El-Gazzar.

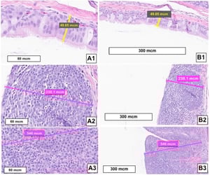
Changes in tracheal mucosa, Mycoplasma infection, photomicrographs
Changes in tracheal mucosa, Mycoplasma infection, photomicrographs

1) Normal tracheal mucosa with pseudostratified, simple columnar ciliated epithelium with goblet cells and two or three cell layers thick submucosa followed by muscularis mucosa. Mucosa and submucosa are measured at 49.65 mcm. 2) Moderate epithelial metaplasia and loss of cilia; the submucosa is moderately thickened by lymphocytic infiltration with germinal center formation. Mucosa and submucosa are measured at 238.1 mcm. 3) Severe epithelial metaplasia and loss of cilia; the submucosa is moderately thickened by lymphocytic infiltration with germinal center formation. Mucosa and submucosa are measured at 546.0 mcm. A) Scale bar = 60 mcm; 40X objective lens. B) Scale bar = 300 mcm; 10X objective lens.

1) Normal tracheal mucosa with pseudostratified, simple columnar ciliated epithelium with goblet cells and two or three

... read more

Courtesy of Dr. Mohamed El-Gazzar.

Mortality rates can be high in complicated cases, facilitated by other respiratory viral pathogens and as a result of secondary bacterial (ie, E coli) infections leading to airsacculitis, pericarditis, perihepatitis (polyserositis) and other systemic lesions. (See image of .)

Commercial broiler chickens and market turkeys may have a high rate of condemnation at processing due to airsacculitis. In laying flocks, there may be a chronic increase in deaths and a decrease in the overall production rate.

Uncomplicated M gallisepticum infections in chickens result in relatively mild catarrhal conjunctivitis, sinusitis, tracheitis, and airsacculitis. E coli secondary infections are often concurrent and result in severe air sac thickening and turbidity, with exudative accumulations, adhesive pericarditis, and fibrinous perihepatitis.

Turkeys develop severe mucopurulent sinusitis and varying degrees of tracheitis and airsacculitis. Microscopically, involved mucous membranes are thickened, hyperplastic, necrotic, and infiltrated with inflammatory cells. The mucosal lamina propria contains focal areas of lymphoid hypoplasia and germinal center formation. (See .)

Diagnosis of Mycoplasma gallisepticum Infection in Poultry

  • Real-time PCR assay

  • Isolation from swab samples

History, clinical signs, and typical gross and microscopic lesions may be suggestive of M gallisepticum infection. Serological testing by agglutination and ELISA methods are commonly used for surveillance. Hemagglutination-inhibition is used as a confirmatory test because nonspecific false agglutination reactions may occur, especially after injection of inactivated oil-emulsion vaccines or infection with M synoviae.

Pearls & Pitfalls

  • Hemagglutination-inhibition is used as a confirmatory test because nonspecific false agglutination reactions may occur, especially after injection of inactivated oil-emulsion vaccines or infection with M synoviae.

M gallisepticum infection diagnosis should be confirmed by isolation from swab samples of infraorbital sinuses, nasal turbinates, choanal cleft, trachea, air sacs, lungs, or conjunctiva. Primary isolation is made in a culture medium for Mycoplasma containing 10–15% serum. Colonies on agar medium are used for species identification by immunofluorescence with species-specific antibodies or by PCR assay.

E coli secondary infection, Newcastle disease, avian influenza, and other respiratory diseases (eg, infectious bronchitis in chickens) should be considered in the differential diagnosis and can act as inciting or contributing pathogens.

Because of the fastidious nature of Mycoplasma and the difficulty of isolation, molecular diagnostic tests are commonly used for detection and characterization of Mycoplasma infections in poultry. Real-time PCR assay is a sensitive, specific, and fast detection test for M gallisepticum and can be performed directly on clinical swabs taken from infected sites (eg, choana, sinuses, trachea, air sacs).

Sequence typing by targeting and amplifying specific genetic segments allows for differentiation between M gallisepticum isolates and can be particularly useful for epidemiological investigations and for identifying the source of infection.

Treatment, Control, and Prevention of Mycoplasma gallisepticum Infection in Poultry

  • Antimicrobials may decrease clinical signs and vertical transmission but do not eliminate infection

  • Control requires good biosecurity.

  • Prevention involves sourcing chicks or poults from M gallisepticum–free breeder flocks

Most strains of M gallisepticum are susceptible to a number of broad-spectrum antimicrobials, including tylosin, tetracyclines, and others, but not to penicillins or drugs that act on the cell wall. Tylosin and tetracyclines have been commonly used to decrease egg transmission or as prophylactic treatment to prevent respiratory disease in broilers and turkeys.

Antimicrobials may alleviate clinical signs and lesions but do not eliminate infection. Relevant regulations on the use of antimicrobials in food animals should be consulted before use.

Prevention is based largely on obtaining chicks or poults from M gallisepticum–free breeder flocks. Eradication of M gallisepticum from chicken and turkey commercial breeding stock is well advanced in the US because of control programs coordinated by the National Poultry Improvement Plan. The most effective control program is to establish M gallisepticum–free breeder flocks, managed and maintained under good biosecurity to prevent introductions and monitored regularly with serological testing to continually confirm infection-free status.

In valuable breeding stocks, eggs have been treated with antimicrobials or heat to eliminate egg transmission to progeny. Medication is not a good long-term control method but has been of value in treating individual infected flocks.

Laying chickens free of M gallisepticum are desirable; however, infection is a problem in commercial multiple-age egg farms where depopulation is not feasible.

Inactivated, oil-emulsion bacterins are available and help prevent egg production losses but not infection.

Three live vaccines (F-strain, ts-11, and 6/85) have been licensed in the US for use during the growing phase to provide some protection during lay and may be used in some areas with permission of the state veterinarian. F-strain is of low virulence in chickens but is fully virulent for turkeys. Vaccinated chickens remain carriers of F-strain, and immunity lasts through the laying season. Vaccine strains ts-11 and 6/85 are less virulent, offer the advantage of improved safety for nontarget birds, and are widely used in commercial layers. A commercial recombinant fowlpox–M gallisepticum vaccine has also been marketed.

Key Points

  • M gallisepticum infection can be transmitted vertically and horizontally. Once infected, individuals and flocks become chronic carriers (reservoirs).

  • Clinical signs caused by M gallisepticum are mild if uncomplicated, with low mortality rates and small drops in egg production. They are more severe in turkeys with "infectious sinusitis." However, M gallisepticum infections are often exacerbated by other primary or secondary pathogens leading to substantial economic losses.

  • Bacterial isolation, serological tests, and molecular diagnostic tests are commonly used in detection and characterization of M gallisepticum.

  • M gallisepticum–free breeding stocks are the method of choice for prevention.

For More Information

  • National Poultry Improvement Plan. USDA.

  • Armour NK. Mycoplasma gallisepticum. In: Swayne DE, ed. Boulianne M, Logue CM, McDougald LR, Nair V, Suarez DL, associate eds. Diseases of Poultry. 14th ed. Wiley Blackwell; 2020:911-923.

  • Kempf I. Avian mycoplasmosis. In: Brugère-Picoux J, Vaillancourt J-P, Shivaprasad HL, Venne D, Bouzouaia M, eds. Manual of Poultry Diseases. Association francaise pour l’avancement des science; 2015:278-285.

quizzes_lightbulb_red
Test your Knowledge nowTake a Quiz!
iOS ANDROID
iOS ANDROID
iOS ANDROID