Fungal granuloma, aspergillosis, turkey poult
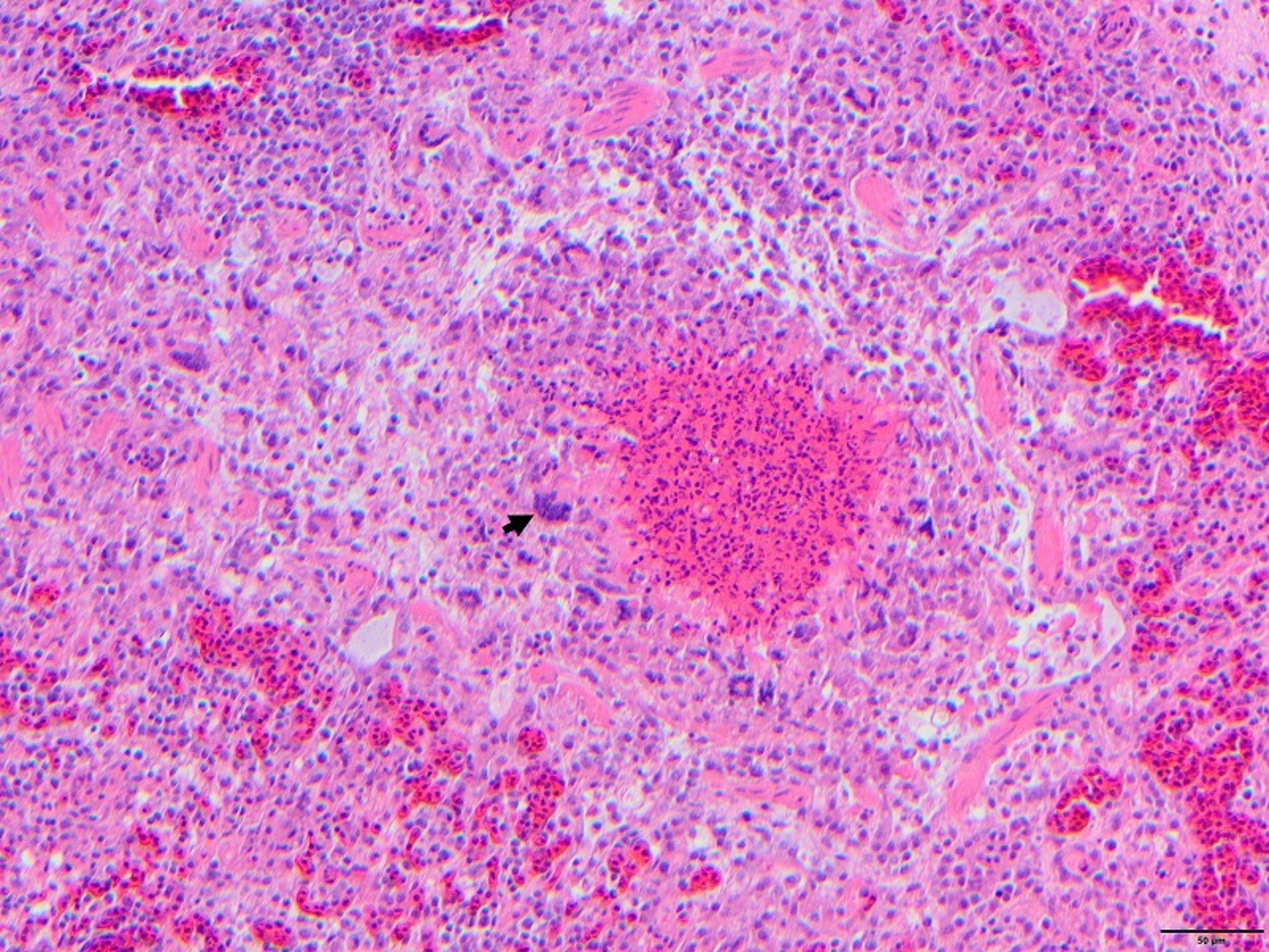
Photomicrograph of a histological section of lung tissue from a turkey poult with respiratory signs of aspergillosis. The image shows a focal granuloma with multinucleated giant cells (arrow), consistent with fungal pneumonia. H&E stain; scale bar = 50 mcm.
Courtesy of Dr. M. E. Lighty.
In these topics
