
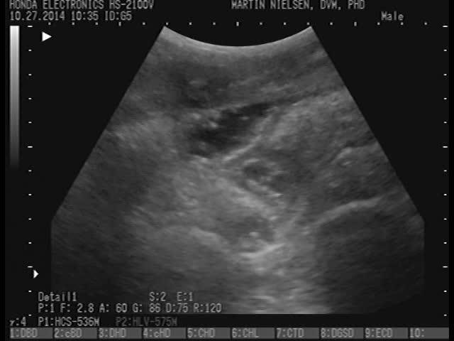
Ascarid parasites, foal
Ascarid parasites visualized within small intestinal loops by transabdominal ultrasonography in a naturally infected foal.
Courtesy of Dr. Martin K. Nielsen.
In these topics

Ascarid parasites visualized within small intestinal loops by transabdominal ultrasonography in a naturally infected foal.
Courtesy of Dr. Martin K. Nielsen.