
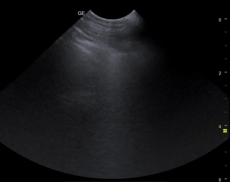
B-lines, lung ultrasonogram
B-lines are bright (hyperechogenic) vertical artifacts that extend from the pleural interface through the screen. They indicate fluid accumulation within the interstitial space.
Courtesy of Dr. Andrew Linklater.

B-lines are bright (hyperechogenic) vertical artifacts that extend from the pleural interface through the screen. They indicate fluid accumulation within the interstitial space.
Courtesy of Dr. Andrew Linklater.