logoPROFESSIONAL VERSION

Joint Trauma in Dogs and Cats

ByPilar LaFuente, DVM, PhD, DACVS-SA, DECVS, DACVSMR, Universidad Catolica de Valencia
Reviewed ByJoyce Carnevale, DVM, DABVP, College of Veterinary Medicine, Iowa State University
Reviewed/Revised Modified Dec 2025
v3286321
Recently Added

Cranial Cruciate Ligament Disease in Dogs and Cats

Cranial cruciate ligament (CCL) disease is the leading cause of hindlimb lameness in dogs. CCL disease can result from trauma or from progressive ligament degeneration.

Pearls & Pitfalls

  • Cranial cruciate ligament disease is the leading cause of hindlimb lameness in dogs.

In traumatic cases of CCL disease, acute rupture or avulsion occurs after overload of the ligament, often in younger dogs. More commonly, however, the disease has a degenerative origin, particularly in large-breed, neutered, or female dogs, and breeds such as Rottweilers, Labrador Retrievers, and Newfoundlands are predisposed.

Degenerative CCL rupture leads to chronic weight-bearing lameness, and affected dogs can exhibit clinical signs such as medial buttress, joint effusion, pain, crepitus, decreased range of motion, and a positive cranial drawer sign and cranial tibial thrust. However, these signs might not be observed in partial ruptures of the ligament.

Radiographic evaluation is essential to confirm stifle joint pathological changes and rule out differential diagnoses such as neoplasia or fracture. In general, joint effusion and degenerative changes can occur. Some dogs, especially with complete CCL ruptures, might show cranial displacement of the tibia as well.

Surgical treatment is frequently required to stabilize the stifle joint in cases of CCL disease, and multiple techniques are available:

  • Intra-articular reconstructions have largely fallen out of favor because of the inferior mechanical strength of grafts compared to the native ligament; however, newer materials are under investigation.

  • Extra-articular stabilization techniques, such as the lateral fabellar suture, aim to provide temporary stability while periarticular fibrosis develops.

  • Procedures such as fibular head transposition, once common, are now rarely used.

  • Osteotomy techniques have become the gold standard, aiming to neutralize tibiofemoral shear forces by altering the geometry of the tibia and the biomechanics of the stifle. These techniques include the following procedures, each with specific indications and biomechanical targets:

    • tibial plateau leveling osteotomy (TPLO)

    • tibial tuberosity advancement (TTA)

    • triple tibial osteotomy (TTO)

    • center of rotation of angulation (CORA)–based leveling osteotomy (CBLO)

    • cranial tibial wedge osteotomy (CTWO)

    In general, dogs start bearing weight sooner with osteotomy techniques, and new evidence suggests that TPLO is the most effective (1, 2, 3).

Surgical stabilization of the stifle joint, despite being generally successful, has a complication rate of 15–28% (4, 5, 6). Potential complications include infection, neurological damage (peroneal nerve impingement with lateral suture), and intraoperative hemorrhage, particularly during osteotomies in which bleeding from the cranial tibial muscle or popliteal artery can occur.

Implants can fail because of inadequate planning or postoperative care, and late meniscal injury affects approximately 2–30% of cases, depending on the stabilization techniques used (3, 7). Other concerns include medial patellar luxation, and the inevitable progression of osteoarthritis (OA) regardless of treatment. One specific postoperative problem is the pivot shift phenomenon, involving cranial tibial subluxation and internal rotation that cause sudden lateral stifle joint shifts during weight bearing, which is often linked to TPLO surgery.

Although conservative management can help some dogs with CCL disease, surgical intervention with supplementary extracapsular sutures is usually recommended to stabilize the joint fully. Overall, in > 80% of cases, good to excellent limb function is achieved after surgery (3).

Meniscal injuries, particularly involving the medial meniscus, because of its limited mobility and firm attachments, are commonly associated with CCL disease.Between 20% and 77%, or even more, of dogs with CCL rupture have concurrent meniscal damage (7).

Meniscal injuries can present in a variety of forms, including bucket-handle, radial, flap, complex, and degenerative tears. Accurate intraoperative evaluation of the meniscus using a probe is critical, because undiagnosed tears can lead to continued pain and joint dysfunction. If damaged, the affected portion of the meniscus must be removed via partial or total meniscectomy, with care taken to minimize trauma to adjacent cartilage.

The long-term prognosis for dogs with CCL disease is generally good with appropriate surgical intervention; however, the choice of technique depends on factors such as age, activity level, stifle joint anatomy, and surgeon experience. Judicious postoperative management and client education about the risk of OA progression are important components of long-term care.

It has been reported that between the lateral suture and TPLO techniques, there is no substantial difference in lameness 2–6 months after surgery (8, 9). Compared with other methods, both TPLO and TTA enable earlier weight bearing. At 6 and 12 months after TPLO, dogs show normal walking and trotting patterns similar to those of healthy control animals. In contrast, with TTA, normal walking is achieved only by 12 months, and neither TTA nor lateral suture techniques restore trotting comparable to that in control animals.

In a study of dogs with CCL rupture surgically managed with either extracapsular repair (ECR) or with TPLO, an OA score was assigned to both pre- and postoperative radiographs of each dog on the basis of 32 specific features of stifle OA. Dogs with larger OA score differences were 5.78 times more likely to have had ECR than TPLO (10). In general, TPLO patients appear to experience less pain and fewer mobility problems than TTA patients experience.

Conservative management of CCL disease could be considered for animals with very mild clinical signs, for cases of early injury, or for small dogs and cats; however, most patients would benefit from surgical management.

OA in patients with CCL disease continues to progress, so long-term multimodal management with weight loss, analgesics, exercise modification, nutraceuticals containing omega-3 fatty acids, physical therapy, and regenerative medicine, is recommended.

Joint Fractures in Dogs and Cats

Joint and growth plate fractures are relatively common in young, growing dogs and cats, and they require special consideration because of their potential impact on future joint function and limb development. These fractures usually result from traumatic events such as falls, car accidents, or rough play. However, nontraumatic fractures, such as spontaneous slipped capital physeal fractures in overweight, castrated young cats, can also occur.

The Salter-Harris classification system is widely used to categorize growth plate fractures by their location and involvement of the physis, metaphysis, and epiphysis:

  • Type I involves a complete separation through the physis.

  • Type II, the most common, involves the physis and metaphysis.

  • Type III includes the physis and epiphysis, affecting the joint surface.

  • Type IV crosses through the metaphysis, physis, and epiphysis, affecting the joint surfaces and often requiring surgical intervention to realign the articular surface.

  • Type V is a crush injury to the growth plate, often difficult to diagnose initially and commonly associated with growth disturbances.

  • Type VI involves asymmetrical injury of the growth plate.

Common locations for physeal fractures include the distal femur, proximal tibia, distal radius and ulna, and distal humerus. Other locations are also possible, including avulsion fractures like the tibial tuberosity avulsion fracture or greater trochanter avulsion fracture.

Cats, especially overweight, neutered males, frequently develop femoral capital physeal fractures (see feline capital physeal fracture images), often with minimal trauma, possibly because of delayed physeal closure. 

Injury of the humeral condyle, which is common in mature spaniel breeds, is characterized by Y or T fracture configurations. Humeral condyle fractures might be related to the subjacent presence of humeral intracondylar fissure, so CT of the contralateral elbow can be useful to determine whether this was the underlying problem.

Clinical signs of physeal or joint fractures typically include acute lameness, pain, localized swelling, and joint instability. In some cases, deformity or limb shortening is noticeable.

Diagnosis of joint fractures relies on a combination of physical examination and diagnostic imaging. Standard radiographs are typically sufficient for identifying the fracture type and Salter-Harris classification (see canine capital physeal fracture image). In complex or articular fractures, CT scanning can offer additional detail for surgical planning.

Management of joint fractures depends on the fracture type, its location, and whether the articular surface is involved:

  • Nondisplaced Salter-Harris type I and II fractures may sometimes be managed conservatively with strict rest and external coaptation; however, surgical stabilization is often preferred to minimize growth disturbances and joint incongruity.

  • Articular fractures (Salter-Harris types III and IV) and displaced physeal fractures usually require surgical stabilization using precise anatomical reduction and internal fixation, often with pins, screws, and/or plates, ensuring minimal disruption to the growth plate and joint surface.

Long-term follow-up is essential to monitor for complications such as angular limb deformities, limb length discrepancies, or OA, particularly in joint fractures. 

The prognosis for recovery from joint fractures is good if proper surgical technique has been used and joint trauma has not been excessive.

Palmar Carpal Breakdown in Dogs and Cats

Palmar carpal breakdown in dogs and cats is a hyperextension injury secondary to falls or jumps that produces excessive force on the carpus, leading to collapse of the proximal, middle, and/or distal joints as a result of tearing of the palmar carpal ligaments and fibrocartilage (see distal forelimb osteoarticular structures and paw tendons and muscles diagrams).

Clinical signs of palmar carpal breakdown include lameness, carpal swelling, pain, and a characteristic plantigrade stance.

External splints or casts may be attempted to treat mild cases of palmar carpal breakdown; however, surgical treatment is usually required to restore limb function. Surgery involves fusion (arthrodesis) of the affected joints using a bone plate and screws, pins and wires, or external skeletal fixation. A cancellous bone graft is used to enhance bone union; compression is ideal, and the joint should be fused at a functional angle.

Historically, postoperative support was required for palmar carpal breakdown in dogs and cats; however, this necessity has been questioned. With surgery, the prognosis for recovery is good.

Hip Luxation in Dogs and Cats

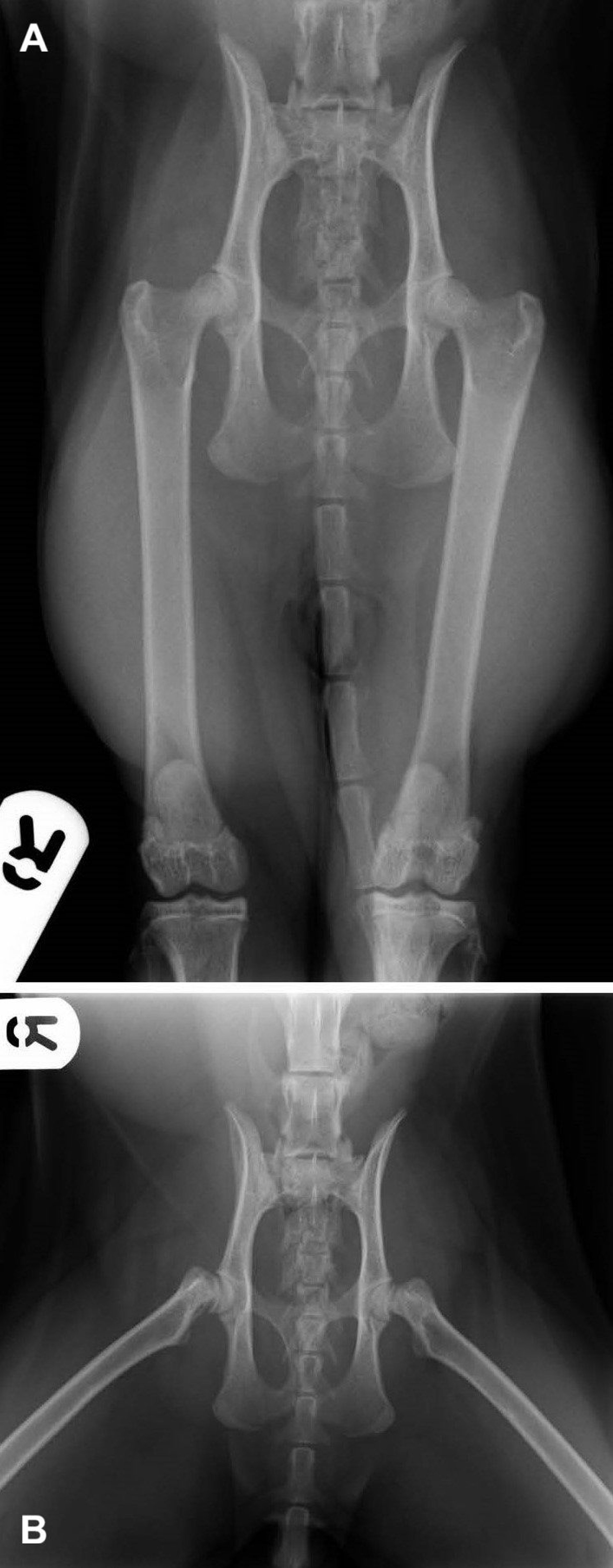
Coxofemoral luxations, or hip dislocations, commonly occur in dogs and cats after traumatic events such as car accidents. These luxations are classified by the direction in which the femoral head moves relative to the acetabulum (see coxofemoral luxation evaluation images). Craniodorsal luxations are the most common type (approximately 72% of cases) (11). Caudodorsal luxations occur less frequently, and ventral luxations are rare.

Clinically, dogs and cats with craniodorsal luxations often present with the limb held in adduction and external rotation, and the affected limb can appear shorter. Manipulation of the hip typically causes pain and crepitus, and altered positioning of key anatomical landmarks (ilium, greater trochanter, andischial tuberosity) helps differentiate a luxated hip from a normal one.

Radiography is essential for confirming a diagnosis of hip luxation and for identifying any associated fractures or joint abnormalities that could influence treatment decisions (see hip luxation image). At least two orthogonal views are necessary.

If no fractures accompany hip luxation and the hip joint has normal conformation, closed reduction is recommended as the first-line treatment, especially in acute craniodorsal or caudodorsal luxations. However, reluxation occurs in approximately 50% of cases (11, 12, 13).

Closed reduction involves manipulation of the femoral head under general anesthesia, followed by application of an Ehmer sling (although this is not always necessary) and strict confinement. Follow-up radiographs confirm successful reduction.

If closed reduction fails, if the joint remains unstable, or if there are concurrent injuries, surgical stabilization is indicated. Several surgical techniques can be used, including capsulorrhaphy, transarticular pinning, iliofemoral sutures, and the use of toggle pins.

Radiographic confirmation of joint alignment and implant positioning is important postoperatively.

Proper pain control and exercise restriction are key to recovery and long-term success.

If the articular cartilage is damaged or nonreconstructable intra-articular fractures are present, salvage procedures such as femoral head and neck excision (FHNE) or total hip replacement might be necessary. These options eliminate the source of pain and enable functional, pain-free movement, especially when joint preservation is no longer feasible.

The prognosis for recovery from surgery for hip luxation is usually excellent.

Key Points

  • Cranial cruciate ligament (CCL) disease is the leading cause of hindlimb lameness in dogs.

  • Meniscal injuries, especially to the medial meniscus, are common in dogs with CCL disease.

  • Growth plate and joint fractures in young animals typically result from trauma; however, some (such as femoral capital physeal fractures in cats) can occur spontaneously.

  • Coxofemoral (hip) luxations are usually caused by trauma; craniodorsal luxation is the most common type.

  • Carpal hyperextension injuries, often from falls, lead to palmar ligament failure and require arthrodesis to restore stability.

  • Osteoarthritis progression is expected regardless of treatment.

For More Information

References

  1. Moore EV, Weeren R, Paek M. Extended long‐term radiographic and functional comparison of tibial plateau leveling osteotomy vs tibial tuberosity advancement for cranial cruciate ligament rupture in the dog. Vet Surg. 2020;49(1):146-154. doi:10.1111/vsu.13277

  2. Krotscheck U, Nelson SA, Todhunter RJ, Stone M, Zhang A. Long term functional outcome of tibial tuberosity advancement vs. tibial plateau leveling osteotomy and extracapsular repair in a heterogeneous population of dogs. Vet Surg. 2016;45(2):261-268. doi:10.1111/vsu.12445

  3. Christopher SA, Beetem J, Cook JL. Comparison of long‐term outcomes associated with three surgical techniques for treatment of cranial cruciate ligament disease in dogs. Vet Surg. 2013;42(3):329-334. doi:10.1111/j.1532-950X.2013.12001.x

  4. Stauffer KD, Tuttle TA, Elkins AD, Wehrenberg AP, Character BJ. Complications associated with 696 tibial plateau leveling osteotomies (2001–2003). J Am Anim Hosp Assoc. 2006;42(1):44-50. doi:10.5326/0420044

  5. Priddy NH, Tomlinson JL, Dodam JR, Hornbostel JE. Complications with and owner assessment of the outcome of tibial plateau leveling osteotomy for treatment of cranial cruciate ligament rupture in dogs: 193 cases (1997–2001). J Am Vet Med Assoc. 2003;222(12):1726-1732. doi:10.2460/javma.2003.222.1726

  6. Fitzpatrick N, Solano MA. Predictive variables for complications after TPLO with stifle inspection by arthrotomy in 1000 consecutive dogs. Vet Surg. 2010;39(4):460-474. doi:10.1111/j.1532-950X.2010.00663.x

  7. McCready DJ, Ness MG. Diagnosis and management of meniscal injury in dogs with cranial cruciate ligament rupture: a systematic literature review. J Small Anim Pract. 2016;57(2):59-66. doi:10.1111/jsap.12433

  8. Conzemius MG, Evans RB, Besancon MF, et al. Effect of surgical technique on limb function after surgery for rupture of the cranial cruciate ligament in dogs. J Am Vet Med Assoc. 2005;226(2):232-236. doi:10.2460/javma.2005.226.232

  9. Au KK, Gordon-Evans WJ, Dunning D, et al. Comparison of short‐and long‐term function and radiographic osteoarthrosis in dogs after postoperative physical rehabilitation and tibial plateau leveling osteotomy or lateral fabellar suture stabilization. Vet Surg. 2010;39(2):173-180. doi:10.1111/j.1532-950X.2009.00628.x

  10. Lazar TP, Berry CR, deHaan JJ, Peck JN, Correa M. Long‐term radiographic comparison of tibial plateau leveling osteotomy versus extracapsular stabilization for cranial cruciate ligament rupture in the dog. Vet Surg. 2005;34(2):133-141. doi:10.1111/j.1532-950X.2005.00021.x

  11. Basher AWP, Walter MC, Newton CD. Coxofemoral luxation in the dog and cat. Vet Surg. 1986;15(5):356-362. doi:10.1111/j.1532-950X.1986.tb00243.x

  12. Bone DL, Walker M, Cantwell HD. Traumatic coxofemoral luxation in dogs results of repair. Vet Surg. 1984;13(4):263-270. doi:10.1111/j.1532-950X.1984.tb00807.x

  13. Wardlaw JL, McLaughlin R. Coxofemoral luxation. In: Tobias KM, Johnston SA, eds. Veterinary Surgery: Small Animal. 2nd ed. Elsevier; 2017:816-823.

quizzes_lightbulb_red
Test your Knowledge nowTake a Quiz!
iOS ANDROID
iOS ANDROID
iOS ANDROID