Diseases associated with porcine circoviruses (PCVs) in pigs include wasting, multisystemic inflammation, reproductive disorders, and porcine dermatitis and nephropathy syndrome. Diagnosis of these diseases is based on clinical signs, histopathological lesions, and detection of the virus, ideally within lesions. PCR assays can aid in diagnosis. Intervention strategies include mainly control of coinfections and vaccination.
To date, four different porcine circoviruses (PCVs) have been described: PCV1, PCV2, PCV3, and PCV4. Since its discovery, PCV2 has been the most clinically important of the porcine circoviruses, and it is the best characterized.
The terms "porcine circovirus disease" (PCVD) and "porcine circovirus–associated disease" (PCVAD) refer to diseases associated with PCV2 infection, which include PCV2 systemic disease (PCV2-SD), formerly known as postweaning multisystemic wasting syndrome (PMWS), PCV2 reproductive disease (PCV2-RD), PCV2 subclinical infection (PCV2-SI), and porcine dermatitis and nephropathy syndrome (PDNS).
PCVDs are among the most important viral diseases of pigs and pose major economic risks to the global swine industry.
Etiology and Pathogenesis of Porcine Circovirus Infections
Circoviruses are small (17–22 nm in diameter), nonenveloped viruses that contain a single strand of circular DNA. Porcine circoviruses comprise four known species within the genus Circovirus in the family Circoviridae.
Porcine circovirus 1 (PCV1) was first described as a noncytopathogenic, picornavirus-like contaminant in the porcine kidney cell line PK-15 (ATCC-CCL33). Later it was shown to be a small, nonenveloped virus (named porcine circovirus) that contained a single-stranded, circular DNA genome. Antibodies against PCV1 in swine were found to be widespread, and experimental infections with this virus in pigs did not result in disease, suggesting that PCV1 was nonpathogenic.
Porcine circovirus 2 (PCV2) was identified as the cause of a new infectious disease—named postweaning multisystemic wasting syndrome (PMWS, currently known as PCV2 systemic disease, or PCV2-SD)—which was found in western Canada during the early to mid-1990s. PCV2 was associated with primarily poor growth rate, ill thrift, and wasting, as well as characteristic systemic lymphoid lesions and other histopathological lesions. The new virus was found to be antigenically and genetically distinct from PCV1.
At present, the most important PCVD is thought to be PCV2 subclinical infection (PCV2-SI), which is linked to decreased average daily weight gain without overt clinical signs. PCV2-SD still occasionally occurs, but it is mainly controlled via vaccination. PCV2 reproductive disease (PCV2-RD) is seldom diagnosed. Porcine dermatitis and nephropathy syndrome (PDNS) is also included as a PCVD; however, there is no proof that PCV2 is the antigen linked with this immunocomplex disease.
Porcine circovirus 3 (PCV3) was found by next-generation sequencing methods in reproductive disorders and cases of multisystemic inflammation. The strongest evidence of disease association comes from in situ detection methods of viral genome associated with systemic nonsuppurative arteritis and periarteritis. PCV3 is considered a cause of multisystemic inflammation, wasting, and reproductive disorders, but not of PDNS. Its associated conditions are referred to as PCV3-associated diseases (PCV3-ADs).
Porcine circovirus 4 (PCV4) is the most recently discovered porcine circovirus, also revealed by deep sequencing methods. Although PCV4 has been found in cases of respiratory, digestive, and reproductive disorders, its pathogenicity is unknown. PCV4 has also been found in cases of PDNS; however, it is not thought to be a cause of this disease.
Phylogenetic studies of PCV2 indicate the existence of at least eight genotypes, possibly nine. PCV2a, PCV2b, and PCV2d are the major genotypes, and PCV2d is the predominant genotype worldwide.
Some studies suggested that the first genotype shift (from PCV2a to PCV2b) occurred coincidentally with major outbreaks of PCV2-SD in North America, Asia, and Europe, and that the second shift (from PCV2b to PCV2d) coincided with the massive use of PCV2 vaccines all over the world (1, 2). However, it is not clear whether differences in virulence exist among or within PCV2 genotypes.
So far, only one genotype is considered to exist for PCV1 and also probably for PCV3; for PCV3, however, different genotype nonunified proposals are described in the literature.
Serological surveys show that most PCVs (mainly PCV2 and PCV3) are widespread in swine, independent of the disease status of the farm.
Results from retrospective serological studies indicate that PCV2 has been infecting pigs for > 60 years so far, and phylogenetic studies indicate that PCV2 has probably circulated in pigs during the past 80–100 years (3). PCV3 existed at least in the 1990s (4); however, studies on the most common recent ancestor indicate that it originated during the 1950s. Much less is known about the phylogeny of PCV1 and PCV4.
Damage to the immune system is the main feature of PCV2 systemic disease, suggesting that affected pigs have an acquired immunodeficiency. Lymphocyte depletion of lymphoid tissues, changes in peripheral blood mononuclear cell subpopulations, and altered cytokine expression patterns have all been demonstrated in pigs naturally and experimentally affected by PCV2-SD.
The identification of cells that support PCV2 replication has been a matter of controversy. The large amount of PCV2 antigen found in macrophages and dendritic cells of diseased pigs appears to result from the accumulation of viral particles. However, epithelial and endothelial cells, as well as a small proportion of macrophages and lymphocytes, seem to be the main target for PCV2 replication.
Much less is known about the pathogenesis of other PCVDs. PCV2 can replicate in fetuses, as well as in zona pellucida–free embryos, which would account for reproductive failure and eventual return to estrus, respectively. Although studies have shown the systematic presence of PCV2 (but not other PCVs) in PDNS cases, direct proof of causality is lacking.
PDNS is considered a type III hypersensitivity reaction in which the antigen present in the immune complexes is suspected to be PCV2 or parts of the virus.
PCV3 has been detected worldwide in pigs of all ages and is associated with a range of clinical manifestations, including multisystemic inflammation, reproductive failure, PDNS, and subclinical infection.
Epidemiology and Transmission of Porcine Circovirus Infections
All porcine circoviruses have been described in domestic swine. Infection by PCV2, PCV3, and PCV4 has been detected also in wild boars.
Some reports have suggested that animals other than swine can be infected by PCV2 or PCV3 (5). However, results of serological testing and PCR assay for antibody or genome against PCVs in other livestock species, nonsuid wild animals, and pets have been contradictory, and experimental induction of disease using PCV1 or PCV2 in livestock species other than swine has not been successful. Mice might be able to replicate and harbor PCV2.
Only for PCV2 are epidemiological features well known. Much less is known about the epidemiology of PCV3.
PCV2 can be transmitted via direct contact with infected pigs. PCV2 has been detected in almost all potential excretion routes, such as nasal, ocular, and bronchial secretions; saliva; urine; and feces.
PCV2 can be found in semen, but the practical importance of its presence in semen is probably negligible. In a study, artificial insemination of sows with PCV2-infected semen from experimentally inoculated boars did not result in sow infection or fetal infection (6, 7). However, when such artificial insemination was performed with PCV2-spiked semen, reproductive problems developed. Therefore, reproductive disease might be linked to artificial insemination, but only when semen has a high virus load, which is unlikely under natural conditions.
Although not demonstrated, the following factors are assumed to play a role in PCV2 transmission: contact with contaminated fomites, exposure to contaminated feeds or biologics such as vaccines, multiple use of hypodermic needles, and biting insects.
PCV2 can persist in swine for several months under either experimental or field conditions. Convalescent swine can carry virus for extended periods and might be important in disease transmission.
Because PCV2 is fairly resistant to commonly used disinfectants and to irradiation, it can accumulate in the environment and eventually be infective for new groups of susceptible pigs if rigorous sanitary measures are not followed.
In the absence of vaccination, the decline of maternally derived antibodies in pigs is associated with the onset of PCV2 systemic disease in late nursery or fattening pigs. Transplacental infection with PCV2 has been documented; however, it is not known whether pigs infected in utero can develop PCV2-SD later.
PCV3 is found worldwide and has been detected in pigs of all ages, both healthy and clinically affected. PCV3 is commonly found in multiple sample types, including serum, tissues, and feces, and it often cocirculates with other swine pathogens. PCV3 appears to be transmitted both vertically (from sow to piglet) and horizontally (through direct contact).
Little is known about the epidemiology of PCV1 and PCV4. They appear to be detected much less frequently than PCV2 or PCV3; however, the systemic infection nature of PCVs suggests that PCV1 and PCV4 are also transmitted via multiple routes.
Clinical and Pathological Findings of Porcine Circovirus Infections
PCV2 Systemic Disease
Clinical Signs
PCV2-SD is characterized by overt weight loss (see PCV2-SD image). Disease often occurs in fattening units in pigs 8–18 weeks old; however, it can also occur in older or younger pigs. Morbidity is typically 5–20% among cohorts in the late nursery or finishing stages.
Courtesy of Dr. Joaquim Segalés.
The mortality rate for swine with clinical signs of PCV2-SD can occasionally be > 50%. In addition to death loss, PCV2-SD in finishing pigs can cause a substantial increase in time to reach market weight, resulting in economic loss.
Decreased average daily weight gain, wasting, and dyspnea are the clinical signs that occur most frequently in PCV2-SD outbreaks. Pallor, anemia, jaundice, diarrhea, and palpable inguinal lymphadenopathy also occur in some affected pigs. A low-grade fever (40–41°C [104–106°F]) that lasts several days might occur as well.
Overcrowding, poor air quality, insufficient air exchange, and commingling of age groups seem to exacerbate the course of PCV2-SD.
Usually, only a few pigs in a group show wasting. The onset of disease can be acute, leading to death within a few days in some pigs. Other pigs show more chronic disease and fail to gain weight or thrive.
Lesions
PCV2-SD is grossly characterized by lymph nodes substantially enlarged and pale on the cut surface, an atrophied thymus, and abnormally thin tonsils. Splenic infarcts also can be present in a low proportion of pigs affected with PCV2-SD.
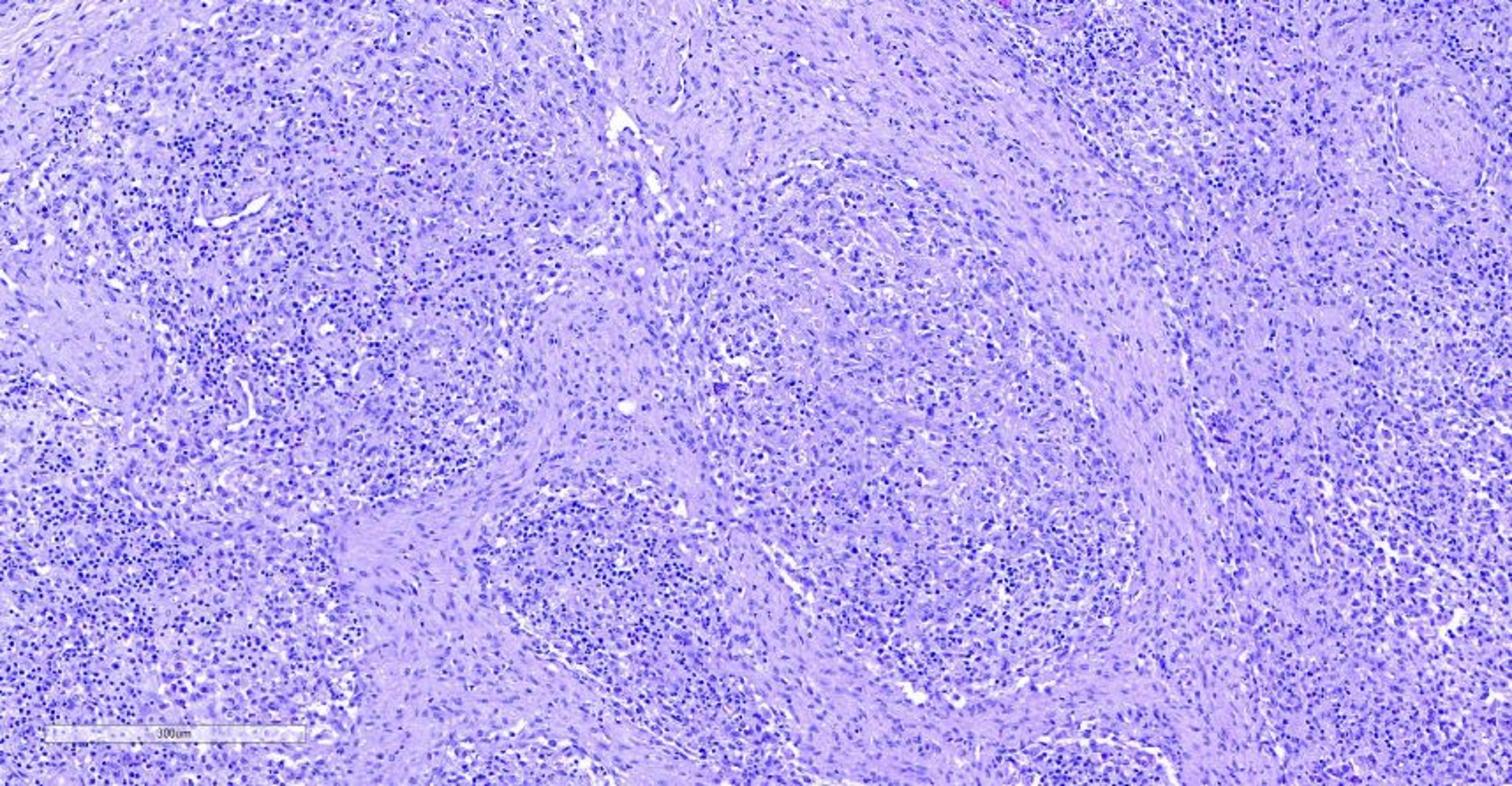
Histopathological lymphoid lesions are characteristic, showing lymphocytic depletion and granulomatous inflammation, sometimes with the presence of multinucleate giant cells and amphophilic botryoid intracytoplasmic inclusion bodies of different sizes, caused by the accumulation of PCV2 particles.
Lesions in the lung are common in pigs affected with PCV2-SD; lesion severity is influenced by the duration of disease and the presence of concurrent infections. Gross lung lesions can include failure to collapse, firmness, diffuse pulmonary edema, mottling, and consolidation. Microscopically, a variable degree of lymphohistiocytic interstitial pneumonia to granulomatous bronchointerstitial pneumonia with bronchiolitis and bronchiolar fibrosis can occur.
Grossly, the liver can appear icteric and/or atrophic in a low proportion of pigs affected by PCV2-SD. Interlobular connective tissue can be prominent. Microscopic hepatic lesions range from single cell necrosis (apoptosis) with mild lymphocytic infiltration of portal zones to extensive lymphohistiocytic periportal hepatitis with diffuse necrosis of hepatocytes.
The kidneys can be enlarged and show scattered to diffuse white foci on the cortical surface. Microscopic renal lesions include interstitial lymphohistiocytic infiltration.
Other PCV2-SD lesions that occur in affected pigs include gastric ulceration(probably due in part to a prolonged fasting period in chronically affected pigs) and occasional multifocal lymphohistiocytic myocarditis. In severely affected pigs, lymphohistiocytic infiltrates can occur in virtually all tissues.
PCV2 Subclinical Infection
Clinical Signs
PCV2-SI has been linked with substantially lower average daily weight gain but not overt clinical signs. In fact, in a farm affected by PCV2-SD, a variable proportion of pigs developed the systemic disease; however, most had subclinical infection.
PCV2-SI had been unnoticed for many years, until the advent of vaccines drew attention to this condition. Vaccinated pigs have an increased average daily weight gain compared with nonvaccinated, apparently healthy counterparts. This difference has been demonstrated to vary from 10 to 40 g per day, depending on the farm.
Lesions
Pigs with PCV2-SI do not show gross lesions attributable to PCV2 infection. These animals can have microscopic lymphoid lesions similar to those in pigs with PCV2-SD, but to only a mild degree.
PCV2 Reproductive Disease
Clinical Signs
PCV2-RD is characterized by late-term abortions and stillbirths in the absence or presence of other well-known reproductive pathogens. Most descriptions of PCV2-RD come from North America, usually in start-up herds.
Return to estrus due to embryonic death as a potential outcome of intrauterine PCV2 infection has been suggested by experimental data (8). To date, however, no field data unequivocally support this effect.
Lesions
In PCV2-RD, stillborn and nonviable neonatal piglets show chronic passive congestion of the liver and cardiac hypertrophy with multifocal areas of myocardial discoloration. The key histopathological feature is fibrosing and/or necrotizing myocarditis in fetuses. However, this hallmark lesion is very seldom observed.
Porcine Dermatitis and Nephropathy Syndrome
Clinical Signs
PDNS can affect nursery and growing pigs and, sporadically, adult animals. The prevalence of the syndrome in affected herds is relatively low (< 1%); however, higher prevalences (> 20%) have been described occasionally.
Pigs with severe acute PDNS die within a few days after the onset of clinical signs, as a result of acute kidney failure with a marked increase in serum concentrations of creatinine and urea. Surviving pigs tend to recover and gain weight 7–10 days after the beginning of the syndrome.
Pigs affected with PDNS have anorexia, depression, prostration, stiff gait and/or reluctance to move, and normal temperatures or mild fever.
The most obvious clinical sign in the acute phase of PDNS is the presence of irregular, red to purple macules and papules on the skin of the hindlimbs and perineal area; however, distribution can be generalized in severely affected animals.
With time, in pigs that have survived PDNS, cutaneous lesions become covered by dark crusts and fade gradually (usually in 2–3 weeks), sometimes leaving scars.
Lesions
PDNS is easy to detect clinically because of the red to dark macules and papules (see PDNS image), which correspond microscopically to necrosis and hemorrhage secondary to necrotizing vasculitis of dermal and hypodermal capillaries and arterioles. Necrotizing vasculitis is a systemic feature; however, it is more prominent in the skin, renal pelvis, mesentery, and spleen (splenic infarcts can also be present, as a result of necrotizing vasculitis of splenic arteries or arterioles).
Courtesy of Dr. Joaquim Segalés.
Apart from having skin lesions, pigs that die acutely from PDNS have firm, bilaterally enlarged kidneys, with a fine granular cortical surface and edema of the renal pelvis. The renal cortex shows multiple, small, reddish pinpoint lesions, similar to petechial hemorrhages, that microscopically correspond to enlarged and inflamed glomeruli (fibrinonecrotizing glomerulitis).
Histologically, moderate to severe nonpurulent interstitial nephritis with dilatation of renal tubules also occurs in pigs with PDNS. Usually, both skin and renal lesions are present; in some cases, however, skin or renal lesions occur alone.
Lymph nodes can be enlarged and red because of blood drainage from affected zones with hemorrhages (mainly skin).
PCV2-SD–like histopathological lesions such as lymphocyte depletion and histiocytic and/or multinucleate giant cell infiltration are usually found in lymphoid tissues of pigs with PDNS; however, these lesions are less severe than those in pigs with PCV2-SD.
PCV3-Associated Diseases
Clinical Signs
PCV3 has been detected in fetuses, stillborn piglets, and weak-born piglets (ie, piglets born alive but with low vitality, such as low birth weight) from sows with reproductive disorders, as well as in wasted postnatal pigs.
Lesions
PCV3 genome detected by in situ hybridization has been found in cases of reproductive failure (includingfetuses, stillborn piglets, and weak-born neonatal piglets) and in cases of acute death/wasting in piglets 3–6 weeks old. In all cases, the hallmark histopathological feature is systemic nonsuppurative arteritis and periarteritis, which is the strongest evidence of potential PCV3-AD. Other lesions, such as myocarditis and encephalitis, can also occur in diseased pigs.
To date, no consistent evidence of lesions linked to PCV1 or PCV4 has been described.
Diagnosis of Diseases Associated With Porcine Circovirus Infections
Clinical signs
Histological evaluation
PCV2 detection methods
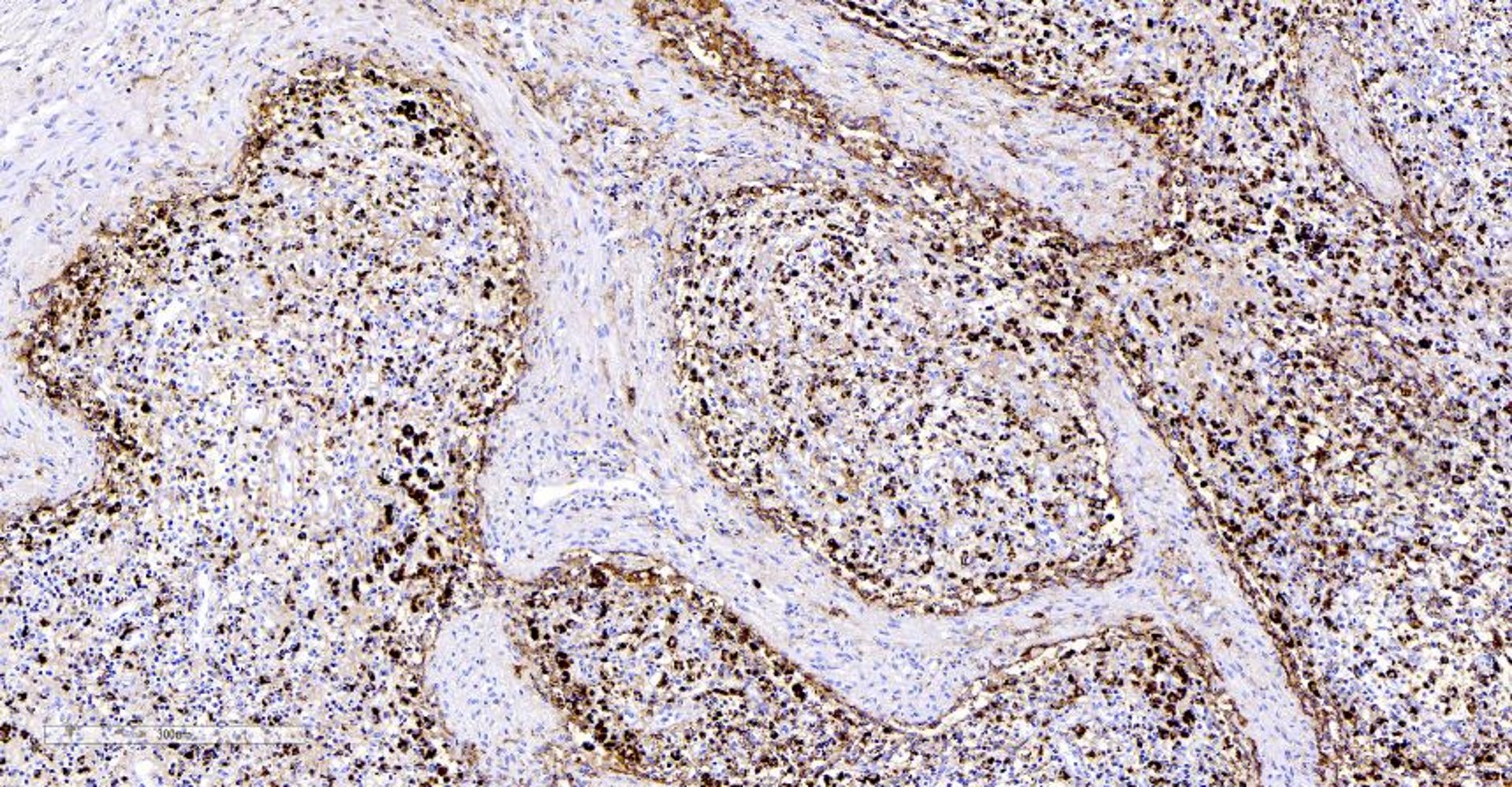
Because PCV2 and PCV3 are ubiquitous pathological agents, diagnosis of the diseases they cause must fulfil at least three criteria: clinical signs, histopathological lesions (see PCV2-SD photomicrograph), and in situ detection of the virus within lesions.
Courtesy of Dr. Joaquim Segalés.
Diagnosis of PCV2 Systemic Disease
The PCV2-SD case definition includes three main diagnostic criteria:
clinical signs of wasting or ill thrift
presence of gross and microscopic (moderate and severe) lesions characteristic of the disease
presence of PCV2 antigen or genome (a moderate to high amount) in microscopic lymphoid lesions
Immunohistochemistry or in situ hybridization can be used to visualize specific viral antigens or genomes, respectively, within lesions (see PCV2 antigen detection image). Moderate to high amounts of virus are linked to clinical disease.
Courtesy of Dr. Joaquim Segalés.
A proposed herd case definition of PCV2-SD includes two main criteria:
marked increase in the mortality rate and the number of runt pigs or pigs failing to gain weight or thrive in comparison to previous values for the farm
fulfillment of the three individual diagnostic criteria listed above in at least one of five examined pigs
Differential diagnoses for PCV2-SD include conditions that cause increased mortality rates and wasting, such as the following:
Many other differential diagnoses are possible.
Because PCV2 is ubiquitous and the virus replicates in individual pigs for weeks to months, isolation of virus, detection of PCV2 DNA in serum or tissues, or detection of PCV2 antibodies in serum is not sufficient to establish a diagnosis of PCV2-SD.
Antibodies against PCV2 can be detected by ELISA (the most frequently used technique), indirect fluorescent antibody testing (see immunofluorescence image), or immunoperoxidase staining of infected cell cultures. These techniques are useful for monitoring antibodies against the virus, which can be elicited by natural infection, vaccination, or transfer from colostrum.
Courtesy of Dr. Gordon Allan.
Viral isolation can be done on several porcine cell lines (mainly porcine kidney cells) using serum, bronchiolar lavage fluid, or tissue homogenates. However, this technique is tedious and slow, and generally not used for diagnostic purposes.
PCV2 DNA can be detected using PCR assay in most tissues or in serum from affected pigs. In cases of chronic disease, several tissue samples from multiple pigs might be required to detect virus. Virus quantification in serum by quantitative real-time PCR (qPCR) assay has been suggested as a potential diagnostic proxy in live pigs.
PCV2-SD occurrence usually has been linked with a qPCR-determined copy number of > 107 genome copies per milliliter of serum. However, a qPCR copy number is only an approximate epidemiological assessment of the disease. Furthermore, PCV2 infection is extremely common in clinically healthy pigs, and the interpretation of positive qPCR assay results is not always straightforward.
Diagnosis of PCV2 Subclinical Infection
The diagnostic approach for PCV2-SI is of little interest to clinicians, because lack of overt clinical signs plus demonstration of infection by PCR assay would be enough to establish such a diagnosis. PCV2-SI occurrence usually has been linked with a qPCR-determined copy number of < 105 or 106 genome copies per milliliter of serum.
Diagnosis of PCV2 Reproductive Disease
Diagnosis of PCV2-RD is based on the following criteria:
late-term abortions and stillbirths, sometimes with hypertrophy of the fetal heart
extensive fibrosing and/or necrotizing myocarditis
high concentrations of PCV2 in myocardial lesions and other fetal tissues
Differential diagnoses for PCV2-RD include the following:
pseudorabies (Aujeszky disease)
other diseases that cause late abortions, stillbirths, and weak piglets
There are no formal criteria for diagnosing a putative return to estrus associated with PCV2 infection. However, the occurrence of such signs, together with evidence of viral circulation during the clinical episode, should be demonstrated.
Diagnosis of Porcine Dermatitis and Nephropathy Syndrome
The case definition for PDNS is relatively simple and includes two main criteria:
hemorrhagic and necrotizing skin lesions, located primarily on the hindlimbs and perineal area, and/or swollen and pale kidneys with generalized cortical petechiae
systemic necrotizing vasculitis, as well as necrotizing and fibrinous glomerulonephritis
Differential diagnoses for PDNS depend on the most consequential pathological outcome. Cutaneous signs can be confused with any of the following:
septicemic salmonellosis
porcine stress syndrome (malignant hyperthermia)
transit erythema (urine-soaked floors, chemical burns, etc)
other bacterial septicemias
Differential diagnoses for kidney lesions include the following:
classical swine fever
African swine fever
swine erysipelas
septicemic salmonellosis
Serum biochemical analyses can help differentiate PDNS from other diseases; urea and creatinine concentrations are markedly increased in cases of PDNS.
Diagnosis of PCV3-Associated Diseases
The criteria in a proposed PCV3-associated disease case definition mirror the criteria established for PCVDs caused by PCV2 (9):
reproductive disorders at the end of gestation for sows, and wasting/sudden death for postnatal pigs
systemic nonsuppurative arteritis and periarteritis
moderate to high amount of PCV3 genome detected within inflammatory lesions
No reliable immunohistochemistry has yet been developed to detect PCV3 antigen, so the only in situ methodology to detect PCV3 in lesions is in situ hybridization. However, this technique is expensive and unavailable in many diagnostic laboratories. Therefore, qPCR assay is the usual method for detecting and quantifying viral genome.
Although a potential threshold to discriminate disease from subclinical infections has not been formally proposed for PCV3, a high amount of PCV3 DNA present in the sample, together with hallmark histopathological lesions, confirms a very likely diagnosis of PCV3-associated disease.
Because PCV1 and PCV4 are not formally recognized as causes of disease, no formal diagnosis case definition has been established for these two PCVs.
Treatment and Control of Porcine Circovirus Infections
Porcine Circovirus InfectionsGood management practices and disinfection
Control of coinfections
For PCV2, vaccination
Because PCV2 systemic disease is multifactorial, effective control measures before the advent of PCV2 vaccines focused on control or elimination of these triggers. The most widely used control measures were the following:
using antimicrobials to prevent concurrent bacterial infections
improving biosecurity and sanitary measures, such as isolation of affected pigs and disinfection of pens after use
decreasing stressors (eg, high stocking density, inadequate ventilation, inadequate temperature control)
controlling concomitant viral infections, especially PRRS
Other PCV2-SD prevention and control measures that were once used on young pigs before the anticipated time of disease onset included injection of vitamins, intraperitoneal injection of serum harvested from finishing pigs, and vaccination against common pathogens. However, these approaches are completely outdated at present.
The first commercial vaccines against PCV2 were introduced in 2004 in France and Germany, then in 2006 in North America, and almost worldwide from 2007 on. Vaccination is the most effective way to control both PCV2-SD and PCV2-SI.
Different types of PCV2 vaccines are based on subunits (the structural protein of the viral capsid [Cap]) or on whole inactivated virus (PCV2 or a chimeric PCV1-PCV2). In addition to substantially decreasing mortality rates and runting percentages, these vaccines seem to improve average daily weight gain, batch uniformity, slaughter weight uniformity, and feed conversion rate.
All major commercial PCV2 vaccines are based on PCV2a isolates; however, cross-protection has been demonstrated against PCV2b and PCV2d. Therefore, an increasing number of commercial products are incorporating PCV2b or PCV2d as vaccine antigens.
All PCV2 vaccines are able to generate both cellular and humoral immune responses, which are believed to be the key features to controlling the subsequent PCV2 infection that occurs under field conditions.
No treatment has proved successful for PDNS. Only epizootic PDNS cases with moderate to high morbidity and mortality rates are important in terms of economic losses. Treatment using a wide range of antimicrobial agents has been unsuccessful.
Because the antigen responsible for triggering PDNS is not known, no preventive recommendations are indicated. Importantly, the use of PCV2 vaccines worldwide has markedly decreased the frequency of PDNS, emphasizing the putative implication of PCV2 in PDNS pathogenesis.
To date, no specific control measures have been designed to control PCV3 infections. No widely available vaccine products against PCV3 exist.
Key Points
Four types of porcine circoviruses have been described. PCV2 is the most economically important one, and the impact of PCV3 infection is poorly known.
Major diseases caused by PCV2 (porcine circovirus diseases) are PCV2 systemic disease (PCV2-SD; formerly known as postweaning multisystemic wasting syndrome), PCV2 subclinical infection (PCV2-SI), PCV2 reproductive disease (PCV2-RD), and porcine dermatitis and nephropathy syndrome (PDNS). PCV2-SD and PCV2-SI are the most economically relevant.
PCV2-SD shows moderate to severe lymphocyte depletion and granulomatous inflammation of lymphoid tissues; lymphohistiocytic inflammatory infiltrates can be found in virtually all tissues.
Diagnosis of PCV2-SD is based on clinical examination, histological evaluation of lymphoid tissues, and detection of PCV2 in damaged tissues.
Vaccination against PCV2 is the most cost-effective way to control porcine circovirus diseases.
PCV3 can cause reproductive problems and multisystemic inflammation of vessels in fetuses, neonatal piglets, and weaned piglets.
For More Information
Franzo G, Segalés J. Porcine circovirus 2 (PCV-2) genotype update and proposal of a new genotyping methodology. PLoS One. 2018;13(12):e0208585.
Klaumann F, Correa-Fiz F, Franzo G, Sibila M, Nuñez JI, Segalés J. Current knowledge on Porcine circovirus 3 (PCV-3): a novel virus with a yet unknown impact on the swine industry. Front Vet Sci. 2018;5:315.
Porcine Circovirus Associated Disease (PCVAD). Pig Progress.
Cobos À, Sibila M, Segalés J. Review of porcine circovirus 3-associated lesions in swine: challenges and advances in diagnostics. Vet Pathol. 2025:3009858251347522.
Varsani A, Harrach B, Roumagnac P, et al. 2024 taxonomy update for the family Circoviridae. Arch Virol. 2024;169(9):176.
References
Segalés J, Kekarainen T, Cortey M. The natural history of porcine circovirus type 2: from an inoffensive virus to a devastating swine disease?Vet Microbiol. 2013;165(1-2):13-20. doi:10.1016/j.vetmic.2012.12.033
Franzo G, Tucciarone CM, Legnardi M, Drigo M, Segalés J. An updated phylogeography and population dynamics of porcine circovirus 2 genotypes: are they reaching an equilibrium?Front Microbiol. 2024;15:1500498. doi:10.3389/fmicb.2024.1500498
Franzo G, Cortey M, Segalés J, Hughes J, Drigo M. Phylodynamic analysis of porcine circovirus type 2 reveals global waves of emerging genotypes and the circulation of recombinant forms. Mol Phylogenet Evol. 2016;100:269-280. doi:10.1016/j.ympev.2016.04.028
Franzo G, He W, Correa-Fiz F, et al. A shift in porcine circovirus 3 (PCV‐3) history paradigm: phylodynamic analyses reveal an ancient origin and prolonged undetected circulation in the worldwide swine population. Adv Sci (Weinh). 2019;6(22):1901004. doi:10.1002/advs.201901004
Zhai S-L, Lu S-S, Wei W-K, et al. Reservoirs of porcine circoviruses: a mini review. Front Vet Sci. 2019;6:319. doi:10.3389/fvets.2019.00319
Madson DM, Ramamoorthy S, Kuster C, et al. Infectivity of porcine circovirus type 2 DNA in semen from experimentally-infected boars. Vet Res. 2008;40(1):10. doi:10.1051/vetres:2008048
Madson DM, Opriessnig T. Effect of porcine circovirus type 2 (PCV2) infection on reproduction: disease, vertical transmission, diagnostics and vaccination. Anim Health Res Rev. 2011;12(1):47-65. doi:10.1017/S1466252311000053
Mateusen B, Maes DG, Van Soom A, Lefebvre D, Nauwynck HJ. Effect of a porcine circovirus type 2 infection on embryos during early pregnancy. Theriogenology. 2007;68(6):896-901. doi:10.1016/j.theriogenology.2007.07.014
Saporiti V, Franzo G, Sibila M, Segalés J. Porcine circovirus 3 (PCV-3) as a causal agent of disease in swine and a proposal of PCV-3 associated disease case definition. Transbound Emerg Dis. 2021;68(6):2936-2948. doi:10.1111/tbed.14204



