
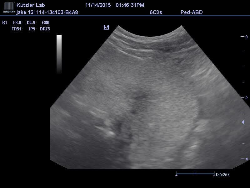
Canine prostate, transabdominal ultrasonography
Transabdominal ultrasonography is the best imaging modality for evaluating the prostate because it allows the prostatic parenchyma to be visualized. This video clip illustrates a transabdominal ultrasonographic examination of the canine prostate in a transverse plane, going from caudal to cranial orientation.
Courtesy of Dr. Michelle Kutzler.
In these topics